当前位置:肿瘤瞭望>资讯>快讯>正文

PAOLA-1方案填补BRCAwt、HRD+卵巢癌患者OS生存获益空白——1例HRD阳性长生存病例解析

作者:肿瘤瞭望   日期:2023/9/5 11:23:08  浏览量:17965

肿瘤瞭望版权所有,谢绝任何形式转载,侵犯版权者必予法律追究。

一例BRCA野生型和HRD阳性的晚期高级别浆液性卵巢癌行腹腔镜探查术Fagotti评分10分,予TP方案NHIPEC 1疗程+TC方案NACT 2疗程后行中间肿瘤减灭术(全子宫+双附件+大网膜+阑尾+盆腹腔病灶切除术+腹主动脉旁淋巴结切除术),术后TC方案4疗程,后3疗程加用抗血管生成药物,化疗结束后达CR状态,后予奥拉帕利联合贝伐珠单抗进行维持治疗,贝伐珠单抗总共使用22疗程,奥拉帕利维持至今。

关键信息一览:一例BRCA野生型和HRD阳性的晚期高级别浆液性卵巢癌行腹腔镜探查术Fagotti评分10分,予TP方案NHIPEC 1疗程+TC方案NACT 2疗程后行中间肿瘤减灭术(全子宫+双附件+大网膜+阑尾+盆腹腔病灶切除术+腹主动脉旁淋巴结切除术),术后TC方案4疗程,后3疗程加用抗血管生成药物,化疗结束后达CR状态,后予奥拉帕利联合贝伐珠单抗进行维持治疗,贝伐珠单抗总共使用22疗程,奥拉帕利维持至今。维持治疗阶段定期复查CA125均在10 U/ml以下,说明奥拉帕利联合贝伐珠单抗方案维持治疗对BRCA野生型和HRD阳性的晚期卵巢癌患者疗效显著。

 
病例情况介绍
病例介绍
性别:女
年龄:50岁
入院时间:2018.04
主诉:腹胀半个月
妇科检查
外阴:已婚经产式,阴道畅,宫颈光。
宫体:常大,中位。
盆腔:附件区可扪及形状不规则囊实性包块,直径12cm,较固定、无压痛、边界清,三合诊直肠子宫陷凹可及散在结节,直径0.5~2cm。
系统回顾
既往史:否认其他系统疾病史。
月经史:既往月经欠规律,5~7天/30~40天,LMP2018-4-15 ,月经量中,无痛经。
婚姻史:已婚,原配体健。
生育史:G1P1A0。
家族史:否认家族遗传病史及肿瘤病史。
辅助检查
肿瘤标志物:CA125 1257.0 U/ml, HE4 1476.0 pmol/L, CA199 10.4 U/ml,CEA/AFP正常范围。
胸部CT:无明显异常。
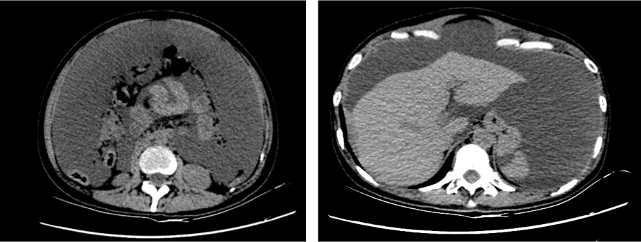
腹部CT:肝右叶S6~8肝包膜下多发结节,考虑转移瘤;肝右叶包膜局部不均匀增厚,右上腹腹膜结节状增厚,上腹部胃小弯侧多发结节,考虑腹腔种植转移;子宫后上方一不规则、多房、囊实性肿块,考虑双侧卵巢恶性肿瘤,囊腺癌可能;子宫前方肿块,考虑腹膜种植转移可能;腹膜后未见明显肿大淋巴结;大量腹水(图1)。
胃肠镜:无明显异常。
图1. 患者的腹部CT结果
影像学诊断:双侧卵巢高级别浆液性癌伴腹膜网膜多发转移,盆腔转移,腹盆腔积液。腹膜后未见明显肿大淋巴结。
初步诊断
原发性卵巢癌III期?
诊疗经过
可切除性评估
采用Suidan评分进行可切除性评估,根据患者的CT结果,评估切除性评分为7分,无法R0切除可能性87%(表1)。
表1. 患者的Suidan评分
腹腔镜探查,Fagotti评分10分,无法R0切除可能性100%,予活检+热灌注管放置术(表2)。
表2. 患者的Fagotti评分
病理:符合高级别浆液性腺癌。
NHIPEC+NACT
于2018-5-12至2018-5-13予紫杉醇210 mg+顺铂100 mg热灌注化疗。
于2018-6-6至2018-6-27予紫杉醇210 mg+卡铂500 mg静脉化疗。
IDS
2021年3月于中山大学孙逸仙纪念医院行卵巢癌中间减灭术(全子宫+双附件+大网膜+阑尾+盆腹腔病灶切除术+腹主动脉旁淋巴结切除术)
减瘤满意度:R0
术中所见
少量淡红色腹水。
右上腹:肝右叶下缘一大小约8 cm类圆形囊肿;肝右叶周围腹膜散在粟粒样结节。右侧膈肌散在粟粒样结节。
左上腹:肝右叶未见明显异常;左膈肌光滑,未见明显异常。
中腹部:大网膜与肠管、子宫前壁、侧腹膜粘连,大网膜表面散在结节,小肠间隙少许萎缩结节。
盆腔:左附件区一大小约8 cm类圆形包块,与子宫及部分肠管粘连。
腹膜后:未扪及明显肿大淋巴结。
术后病理
(双侧附件)右卵巢腺癌,考虑为高级别浆液性癌;左卵巢腺癌,考虑为高级别浆液性腺癌,肿瘤穿破卵巢白膜,侵犯输卵管浆膜层和肌层。
(子宫)子宫体浆膜层、肌层和右侧宫旁软组织见癌浸润。
(大网膜)纤维脂肪组织中见癌浸润。
(阑尾)阑尾浆膜层见少量癌浸润。
(肠间隙肿物)纤维性囊壁组织可见少量癌浸润。
(右肝下缘囊肿)符合肝囊肿。
(腹主动脉旁淋巴结)未见癌转移。
诊断
卵巢高级别浆液性腺癌ⅢC期
基因检测
表3. 患者的基因检测结果
后续治疗
2018-7-20至2018-9-25予紫杉醇210 mg+卡铂500 mg化疗4疗程,后3疗程加贝伐珠单抗500 mg。化疗结束后达CR状态。
患者为BRCA野生型和HRD阳性的晚期高级浆液性卵巢癌,于2018年10月起予奥拉帕利300 mg bid+贝伐珠单抗维持治疗,贝伐珠单抗共使用22疗程,此后单用奥拉帕利300 mg bid维持治疗。
疗效评估
初始治疗阶段
图2. 初始治疗阶段CA125监测
维持治疗阶段
图3. 维持治疗阶段CA125监测
 
点 评
该病例为BRCA野生型和HRD 阳性的晚期卵巢高级别浆液性腺癌患者,初始治疗后使用奥拉帕利+贝伐珠单抗进行一线维持治疗,显示出奥拉帕利+贝伐珠单抗在该人群的良好疗效。
贝伐珠单抗是近年来在卵巢癌辅助治疗和维持治疗中的作用日益受到重视,目前认为贝伐珠单抗的应用应该根据复发风险而定,初始治疗中可以从贝伐珠单抗中获益的5类人群:IV期患者(ICON7/GOG0218)[1,2]、无法接受手术治疗的III期患者(ICON7)、减瘤术后残留病灶>1 cm的患者(ICON7)、大量腹水患者,以及原发耐药性肿瘤患者(ASCO2022)。该病例初始治疗有大量腹水,肿瘤负荷高,新辅助化疗后行中间肿瘤减灭术,属于高复发风险人群,因此我们在后几个疗程的化疗中加用贝伐珠单抗。
同源重组修复缺陷(HRD)与PARP抑制剂导致肿瘤细胞合成致死的作用机制密切相关,约50%的高级别浆液性卵巢癌携带HRD,约50%的HRD为BRCA基因突变, BRCA1/2突变是PARP抑制剂使用的重要生物标志物,对于新诊断的卵巢癌患者,可通过检测BRCA及其他HR基因来判断HRD的状态,从而筛选出PARP抑制剂维持治疗中获益最大的人群(图4)[3-7]。
图4. HRD与PARP抑制剂的合成致死效应[3-5]
2023年NCCN指南推荐所有新诊断的卵巢癌患者行基因检测:建议在CLIA批准的设备上,实施经验证的分子检测,包括但不限于:BRCA1/2、HR状态、MSI、TMB与NTRK等标志物(图5)[8]。
图5. 2023年NCCN指南推荐[8]
2018年12月,基于SOLO1[9]研究,FDA批准奥拉帕利用于新诊断BRCA突变上皮性卵巢癌、输卵管癌或原发性腹膜癌成人患者,在一线含铂化疗方案达到完全缓解或部分缓解后的维持治疗。2019年11月,奥拉帕利在中国获批用于BRCA突变卵巢癌的一线维持治疗。
对于BRCA野生型、HRD阳性的患者,维持治疗的依据是POALA-1研究[10]。PAOLA-1是一项随机对照、双盲III期研究,新诊断的晚期上皮性卵巢癌患者在一线含铂化疗联合贝伐珠单抗后处于无疾病状态(NED)或缓解(CR/PR )后接受贝伐珠单抗+奥拉帕利或贝伐珠单抗+安慰剂维持治疗2年。2022年ESMO年会正式发布该研究ITT人群和不同肿瘤BRCA和HRD状态亚组的OS结果并更新了HRD人群的PFS结果。在HRD阳性亚组中,患者接受联合用药后OS显著延长(75.2 vs. 57.3个月;HR 0.62,95%CI:0.45~0.85),死亡风险降低38%(图6)。HRD阳性患者中,不论患者的BRCA状态,均能观察到临床获益,其中排除BRCA突变的HRD阳性患者OS分别为NR(联合用药组)和52个月(HR 0.71,95%CI:0.45~1.13)(图7)。
图6. PAOLA-1中HRD阳性亚组的OS数据[10]
图7. PAOLA-1中排除BRCA突变HRD阳性亚组的OS数据[10]
目前我国获批可用于HRD阳性患者卵巢癌一线维持治疗的药物治疗方案除了奥拉帕利联合贝伐珠单抗,还有尼拉帕利单药维持方案。PRIMA研究显示,尼拉帕利在HRD阳性亚组的PFS为24.5个月,暂无OS获益数据。PRIME研究中HRD阳性亚组PFS暂未达到(表4)。
表4. PARP 抑制剂HRD阳性一线维持治疗疗效数据汇总[10-13]
注:非头对头研究,不能直接比较
PARP 抑制剂单药或联合已经成为卵巢癌患者的标准一线维持治疗方案,整体安全性良好,但是尚无研究直接对比各个方案。
基于PAOLA-1研究,奥拉帕利获批了新适应症,联合贝伐珠单抗用于HRD阳性的晚期上皮性卵巢癌、输卵管癌或原发性腹膜癌成人患者在一线含铂化疗联合贝伐珠单抗治疗达到完全缓解或部分缓解后的维持治疗。本病例一线维持治疗的结果,也进一步证实了奥拉帕利+贝伐珠单抗方案在HRD阳性卵巢癌一线维持治疗的地位和疗效。
病例作者:李晶 教授
中山大学孙逸仙纪念医院妇瘤专科 副教授
广东省医学会妇科肿瘤学分会第一届青年委员会副主任委员;
广东省临床医学学会肿瘤学专业委员会妇科学组副主任委员;
日本肿瘤学会(Japanese Society of Medical Oncology, JSMO) 学术计划委员会国际协调委员;
参考文献(上下滑动查看更多内容)
[1] OZA A M, COOK A D, PFISTERER J, et al. Standard chemotherapy with or without bevacizumab for women with newly diagnosed ovarian cancer (ICON7): overall survival results of a phase 3 randomised trial [J]. Lancet Oncol, 2015, 16(8): 928-36.
[2] FERRISS J S, JAVA J J, BOOKMAN M A, et al. Ascites predicts treatment benefit of bevacizumab in front-line therapy of advanced epithelial ovarian, fallopian tube and peritoneal cancers: an NRG Oncology/GOG study [J]. Gynecol Oncol, 2015, 139(1): 17-22.
[3] HELLEDAY T. The underlying mechanism for the PARP and BRCA synthetic lethality: clearing up the misunderstandings [J]. Mol Oncol, 2011, 5(4): 387-93.
[4] ALY A, GANESAN S. BRCA1, PARP, and 53BP1: conditional synthetic lethality and synthetic viability [J]. J Mol Cell Biol, 2011, 3(1): 66-74.
[5] O’CONNOR M J. Targeting the DNA Damage Response in Cancer [J]. Mol Cell, 2015, 60(4): 547-60.
[6] KONSTANTINOPOULOS P A, CECCALDI R, SHAPIRO G I, et al. Homologous Recombination Deficiency: Exploiting the Fundamental Vulnerability of Ovarian Cancer [J]. Cancer Discov, 2015, 5(11): 1137-54.
[7] HOSOYA N, MIYAGAWA K. Targeting DNA damage response in cancer therapy [J]. Cancer Sci, 2014, 105(4): 370-88.
[8]NCCN Guidelines. Ovarian Cancer. 2023 Version 1.
[9] BANERJEE S, MOORE K N, COLOMBO N, et al. Maintenance olaparib for patients with newly diagnosed advanced ovarian cancer and a BRCA mutation (SOLO1/GOG 3004): 5-year follow-up of a randomised, double-blind, placebo-controlled, phase 3 trial [J]. Lancet Oncol, 2021, 22(12): 1721-31.
[10] Isabelle Ray-Coquard, et al. 2022 ESMO LBA29
[11] González-Martín A, et al. PRIMA/ENGOT-OV26/GOG-3012 study: Updated long-term PFS and safety. 2021 ESMO abstr 530P.
[12] GONZáLEZ-MARTíN A, POTHURI B, VERGOTE I, et al. Niraparib in Patients with Newly Diagnosed Advanced Ovarian Cancer [J]. The New England journal of medicine, 2019, 381(25): 2391-402.
[13] Li N, et al. Efficacy and safety of niraparib as maintenance treatment in patients with newly diagnosed advanced ovarian cancer using an individualized starting dose(PRIME Study): a randomized, double-blind, placebo-controlled, phase 3 trial. 2022 SGO Annual Meeting on Women’s Cancer.

 

本内容仅供医学专业人士参考


BRCAwt、HRD+卵巢癌

分享到: 更多