当前位置:肿瘤瞭望>资讯>正文

罕见!胰腺导管腺癌合并肾透明细胞癌胰腺转移

作者:肿瘤瞭望   日期:2021/8/25 10:56:22  浏览量:18639

肿瘤瞭望版权所有,谢绝任何形式转载,侵犯版权者必予法律追究。

肿瘤发生胰腺转移比较罕见。肾细胞癌(RCC)是胰腺转移的一个可能来源。

编者按:肿瘤发生胰腺转移比较罕见。肾细胞癌(RCC)是胰腺转移的一个可能来源。RCC通常转移较晚且只转移到胰腺,提示RCC在原发转移到胰腺中具有特殊的作用。更为罕见的是,RCC胰腺转移可能与胰腺导管腺癌(PDAC)同时发生。本文就报告了这样一例异时性肾透明细胞癌(ccRCC)胰腺转移合并PDAC的病例[1]。


病例报告
 
患者,男性,78岁,白种人,在其他机构经细胞学诊断为胰腺导管腺癌(PDAC)来院就诊。因新发黄疸,接受了远端胆管支架置入和胰腺细针抽吸(FNA)细胞学检查。患者20年前曾因肾透明细胞癌行左肾切除术。相关的继发诊断包括持续性房颤、高血压、冠状动脉疾病和慢性肾衰竭。在本院就诊时,患者报告体重减轻3~4 kg,食欲不振。体格检查无明显发现。
 
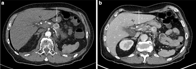
在进行肿瘤分期时,腹部超声、计算机断层扫描(CT)和胸部x线显示PDAC没有远处转移。CT扫描发现胰腺多发占位性肿块(图1)。由于放射学怀疑存在门静脉和可能的腹腔干紧邻动脉浸润,PDAC被划分为边缘可切除。
 
图1. 胰腺的CT扫描
(图片引自发表文章)

治疗经过:
 
由于ECOG功能状态良好,PDAC的边缘性可切除,患者接受了FOLFIRINOX方案(叶酸、氟尿嘧啶、伊立替康、奥沙利铂)的新辅助化疗,但在第二个FOLFIRINOX周期后,患者出现非ST段抬高型心肌梗死,肿瘤内科医生决定停止化疗并进行手术切除。
 
随后的正电子发射断层扫描-计算机断层扫描(PET-CT)显示,在胰腺的体部和尾部存在占位性肿块。另外,在胰腺头部可以看到形态上的明显的高代谢活动区域。
 
患者行全胰切除、脾切除、节段门静脉/肠系膜上静脉切除重建、半胃切除和胆囊切除术。
 
病理检查发现:胰腺体内有两个界限清楚的肿瘤(直径分别为1.8 cm和0.4 cm),其切面呈不均匀的黄色和棕色,被另一界限不清的黄白色实性肿瘤包围,直径2.8 cm,延伸至胰尾(图2)。
 
图2. 胰腺体的肉眼切面
 
可见两个明确的RCC转移灶(白色星号),以及介于两者之间的白黄色PDAC(黑色星号)。轴向切片技术用于胰头(未显示),胰体和胰尾平行于胰颈边缘切片(图片引自发表文章)
 
镜下检查发现,胰腺体/尾部由不同组织学形态的肿瘤细胞形成(图3a)。两个界限明确的肿瘤具有相同的组织形态,肿瘤细胞呈均匀的结节状生长,胞浆透明,细胞核小(图3b)。免疫组化后,肿瘤细胞vimentin和Pax-8阳性(图3c、d),而CK7和Ca19-9阴性,因此诊断为ccRCC转移。更大的、界限不清的肿瘤延伸至胰腺尾部,其组织形态更不均匀。而一些区域显示小到中等大小的不规则管状腺体,嵌在增生的间质中,其他区域显示筛状到实体生长的模式,其肿瘤细胞具有明显的嗜酸性胞浆,有时含有胞浆空泡和高度多形性增大的核(图3e)。
 
免疫组化后,这些肿瘤细胞表达Ca19-9和CK7(图3f、g),而vimentin和Pax-8染色阴性,因此提示为PDAC。p40免疫组化排除腺鳞癌分化(未显示)。高嗜酸性细胞浆和胞浆空泡被解释为术前化疗后的退行性细胞病变。根据美国病理学家协会(CAP)肿瘤消退分级系统[2]将肿瘤消退分级为3级(不良反应)。此外,发现大量静脉和神经周围浸润,6个区域淋巴结转移和腹膜癌。PDAC的最后TNM分期为ypT2、ypN2(6/45)、ypM1(PER) L0 V1、Pn1 R1。
 
图3. 胰腺体/尾部病变的组织形态学和免疫组化
(图片引自发表文章)
 
患者术后最初恢复稳定。但术后约2周,患者发生肺吸入,不得不接受心肺复苏术和支气管镜抽吸。在随后的腹部CT扫描中,检测到腹腔内游离气体,因缺血性穿孔而进行非典型胃部分切除术。虽然手术很成功,但患者第二天出现脓毒性休克和弥散性血管内凝血。尽管进一步手术,包括由于局部缺血而进行次全结肠切除术,患者仍在一天后因难治性休克和多器官衰竭死亡。
 
表1列出了临床过程的概述。
 
表1. 本病例的临床过程
(表格引自发表文章)

RCC胰腺转移的“种子和土壤”理论
 
肿瘤转移至胰腺非常罕见,往往临床表现不明显,手术标本中仅3.9%为肿瘤胰腺转移。在因转移而接受胰腺切除的患者中,肾细胞癌转移最常见,占63%[3]。
 
原发性肾细胞癌和胰腺转移之间的中位间隔大约是7年,胰腺转移已经被证明在原发性肾细胞癌诊断后20年才发生[4]。RCC的胰腺转移通常发生较晚,而且胰腺经常是同步RCC转移的唯一受累器官,因此,作者在此基础上提出“种子和土壤”理论。弥散性肿瘤细胞通过血管系统扩散,可能只在肿瘤细胞和宿主组织之间的特定相互作用允许转移成熟的位置发展为转移,例如,转移前生态位的形成、肿瘤细胞和宿主组织之间的特异性趋化因子相互作用,以及宿主组织中有利于肿瘤细胞免疫编辑,均可促进肿瘤转移[5]。然而,RCC细胞“胰脏趋向性”的确切原因尚不清楚。RCC胰腺转移的患者与其他来源胰腺转移的患者相比,似乎有明显的更好的预后[3]。这与如下研究发现相一致:具有胰腺转移的ccRCC在组织病理学上具有高血运化、生长均匀、核级别低的特征,并且与非胰腺转移的ccRCC相比,其分子水平较低。这表明具有(仅有)胰腺转移的ccRCC代表了ccRCC的一个特殊的不活跃的亚群。上述组织形态学方面也可在本病例中发现(图3)。

同时性或异时性RCC胰腺转移合并PDAC
 
本病例中,RCC发生了晚期的异时性胰腺转移合并PDAC。RCC患者发展成其他各种原发性恶性肿瘤的风险明显更高[6]。由于化疗和/或放疗通常不是肾细胞癌最初治疗的一部分,因此可以假设这些RCC患者的其他原发性恶性肿瘤不是由治疗引起的,而是与外源性和/或遗传因素有关。例如,吸烟是包括RCC和PDAC在内的各种癌症的共同风险因素。VHL(Von Hippel-Lindau tumor suppressor)的致病性变异是与ccRCC相关的一个主要遗传参数。VHL患者在其他肿瘤中发生ccRCC的风险增加。此外,46%~82%的散发性ccRCC含有VHL致病性突变[7]。VHL患者也容易发生胰腺浆液性囊性肿瘤(SCN)和胰腺神经内分泌肿瘤(pNEN);然而,无论是VHL疾病还是散发的VHL变异体都与PDAC无关[8]。
 
同时性或异时性RCC胰腺转移合并PDAC的病例在文献中很少被报道。2012年一项对1178例胰腺癌患者的回顾性研究发现,16例PDAC或导管内乳头状黏液瘤合并同时性或异时性RCC。在12例PDAC患者中,9例合并异时性RCC,仅有3例有同时性RCC[9]。
 
本病例的优秀之处在于对同时和同空间发生的PDAC和ccRCC胰腺转移进行了详细的放射学和病理学评估,局限性在于患者术后死亡,随访时间短。当然,在伴有相关合并症和总体健康状况降低的广泛累及胰腺有多个肿块的病例中,必须仔细权衡手术的利弊。本病例中,尽管患者高龄,在FOLFIRINOX治疗期间发生心肌梗死,考虑到PDAC被归类为边缘可切除,患者一般状况稳定并明确表示希望进行手术,跨学科治疗小组还是决定进行手术。
 
本病例中,原发性RCC发生在原发性PDAC之前,然而,RCC转移和PDAC发生在同一个部位——胰腺。可以推测,在这种情况下,PDAC的存在是否可能在胰腺RCC转移的发展中发挥了作用,例如,通过创造一个有利的局部免疫环境,或反之亦然?
 
本病例表明,尽管术前诊断工具的质量已经达到了很高的标准,但术前诊断的有效性仍然有限,这强调了病理检查在诊断过程中的重要性。

总结
 
总之,尽管RCC在胰腺的转移非常罕见,与PDAC联合发生的情况更是罕见,但是,临床医生、放射科医生和病理学家应该意识到这种可能性。这些病例的影像解释可能具有很高的挑战性,特别是在术前治疗后。因此,在诊断过程中,密切的跨学科合作必不可少!此外,肾细胞癌作为胰腺转移源的特殊作用还有待进一步阐明。
 
参考文献
1. Lena Haeberle, et al. Pancreatic ductal adenocarcinoma concomitant with pancreatic metastases of clear-cell renal cell carcinoma: a case report. Journal of Medical Case Reports volume 15, Article number: 314 (2021) .
2. Kakar S, Shi C, Adsay NV, Fitzgibbons P, Frankel WL, Klimstra DS, et al. Protocol for the examination of specimens from patients with carcinoma of the pancreas version 4.0.0.1. College of American Pathologists. 2017.
3. Adler H, Redmond CE, Heneghan HM, Swan N, Maguire D, Traynor O, et al. Pancreatectomy for metastatic disease: a systematic review. Eur J Surg Oncol. 2014;40:379–86.
4. Wente MN, Kleeff J, Esposito I, Hartel M, Müller MW, Fr hlich BE, et al. Renal cancer cell metastasis into the pancreas: a single-center experience and overview of the literature. Pancreas. 2005;30:218–22.
5. Sellner F. Observations on solitary versus multiple isolated pancreatic metastases of renal cell carcinoma: another indication of a seed and soil mechanism Cancers (Basel). 2019;11:1379.
6. Beisland C, Talleraas O, Bakke A, Norstein J. Multiple primary malignancies in patients with renal cell carcinoma: a national population-based cohort study. BJU Int. 2006;97:698–702.
7. Cowey CL, Rathmell WK. VHL gene mutations in renal cell carcinoma: role as biomarker of disease outcome and drug efficacy. Curr Oncol Rep. 2010;11:94–101.
8. Lonser RR, Glenn GM, Walther M, Chew EY, Libutti SK, Linehan WM, et al. Von Hippel-Lindau disease. Lancet. 2003;361:2059–67.
9. Müller SA, Pahernik S, Hinz U, Martin DJ, Wente MN, Hackert T, et al. Renal tumors and second primary pancreatic tumors: a relationship with clinical impact Patient Saf Surg. 2012;6:18.

本内容仅供医学专业人士参考


胰腺癌

分享到: 更多