当前位置:肿瘤瞭望>资讯>正文

2023 优例共赏丨MSS型肠癌后线挑战斯鲁利单抗联合抗血管生成药物治疗疗效卓越

作者:肿瘤瞭望   日期:2023/5/8 16:19:47  浏览量:9907

肿瘤瞭望版权所有,谢绝任何形式转载,侵犯版权者必予法律追究。

结直肠癌是一种消化道常见的恶性肿瘤,其中IV期发生远处转移的晚期结直肠癌患者,约95%是MSS/pMMR型。目前部分研究显示,对于后线MSS型mCRC而言,免疫联合抗血管生成药物可以为部分患者带来生存获益。襄阳市中心医院肿瘤科刘荧荧医生分享一例MSS型结肠癌患者的诊疗经过,在斯鲁利单抗联合抗血管生成药物治疗后,无进展生存期(PFS)>6个月,总生存期(OS)超过48个月,且患者仍在持续获益治疗中。

▌病例作者:刘荧荧医生襄阳市中心医院
▌点评专家:龚志敏教授襄阳市中心医院
 
摘要:结直肠癌是一种消化道常见的恶性肿瘤,其中IV期发生远处转移的晚期结直肠癌患者,约95%是MSS/pMMR型。目前部分研究显示,对于后线MSS型mCRC而言,免疫联合抗血管生成药物可以为部分患者带来生存获益。襄阳市中心医院肿瘤科刘荧荧医生分享一例MSS型结肠癌患者的诊疗经过,在斯鲁利单抗联合抗血管生成药物治疗后,无进展生存期(PFS)>6个月,总生存期(OS)超过48个月,且患者仍在持续获益治疗中。
 
病史简介
 
▌基本情况:
 
患者:男,62岁
 
主诉:发现肝脏多发占位1天
 
既往史:糖尿病病史
 
现病史:2019年3月初因血糖控制不佳伴呼吸道感染至我院内分泌科住院,行胸部CT发现肝脏多发占位,PS评分1分,没有特别异常的病例特征。
 
▌检查情况:
 
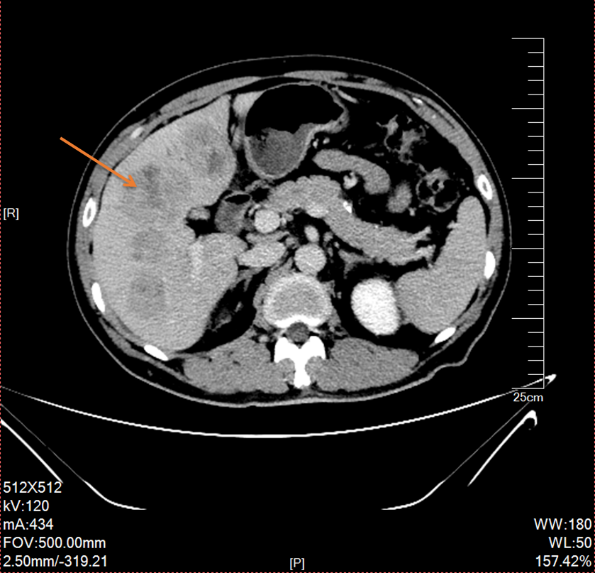
2019-03-14行上腹部增强CT,显示肝内散在的多发圆形稍低密度灶,大小不等,边界欠清晰,较大者直径约5.2cm,其内密度不均,增强扫描病灶周边有强化,内部有更低密度区液化坏死区,考虑转移瘤;胆囊多发结石;双肾多发结石,直径小于0.2cm;扫描范围内结肠肝区管壁增厚,管腔狭窄,增强扫描可见明显强化。
 
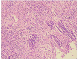
2019-03-18行常规肠镜检查,结肠镜示升结肠新生物性质待查,随后活检示:(升结肠活检物)绒毛状管状腺瘤伴高级别腺上皮内瘤变,局灶癌变,肿瘤标记物检查显示癌胚抗原:89.45ng/m;糖链抗原19-9>1200.00U/L。
 
后期完善基因检测:KRAS/NRAS/BRAF未检测出突变,且MSS型。
 
△2019-03-14上腹部(包括肝、胆、脾、胰范围内)平扫+增强
 
△2019-03-18肠镜检查
 
△2019-03-18升结肠病理检测
 
▌诊断结果:
 
三野MSS型升结肠癌肝转移cT3N1M1b IVB期?
 
治疗经过
 
▌一线治疗
 
2019-03-21至2019-09-02采用化疗+靶向进行治疗,治疗11周期,第1周期采用FOLFIRI方案,第2-11周期FOLFIRI+西妥昔单抗。
 
2019-09-30至2020-08-20卡培他滨口服维持治疗。
 
治疗期间于2019-07-13及2019-12-19进行疗效评估,疗效评价PR,建议患者切除原发灶,患者拒绝。CEA、CA199降至正常范围。
 
 
 
局部治疗:2020-09-26复查MRI提示部分病灶较前缩小,部分增大,于2020-10-22至武汉同济医院行“肝脏病灶微波消融术”,后继续口服卡培他滨至2021-5。
 
 
 
▌二线治疗
 
2021.06-01复查影像学提示肝胃间隙及腹膜后淋巴结较前增大,疗效评价PD。
 
2021-06-08至2021-12-11采用“贝伐珠单抗+Cap”治疗8个周期。
 
2021-12-15影像学复查提示疾病进展。
 
 
▌三线治疗
 
2021-12-20至2022-03-21更改化疗方案,采用“贝伐单抗+FOLFOX6方案”进行治疗。
 
2022-04至2022-07采用“贝伐珠单抗联合卡培他滨”维持治疗4周期,维持治疗期间患者渐感腹胀伴消瘦。
 
202-08出现肠梗阻,内科治疗效果不佳。
 
2022-08-29至武汉同济医院行小肠造瘘术。
 
 
 
 
▌四线治疗
 
患者出现肠梗阻,考虑病情PD,因此2022-10-06至今采用“斯鲁利单抗(200mg q3w)+呋喹替尼(4mg/d,口服,服3周停1周)”进行治疗,治疗过程中患者一般情况良好,体重增加。
 
 
 
 
▌病例小结
 
该例结肠癌患者治疗进程较长,2019年3月确诊升结肠癌并伴随多发肝转移(三野MSS型)。患者一线采用FOLFIRI联合西妥昔单抗治疗11个周期,疗效评估达到PR,后续采用卡培他滨维持治疗,并于2020年10月进行肝脏病灶微波消融;2021年6月影像学提示疾病进展进入二线治疗,采用贝伐珠单抗联合卡培他滨治疗8个周期后出现疾病进展,换用化疗方案FOLFOX6继续进行治疗6个周期,后续采用贝伐珠单抗联合卡培他滨进行维持治疗,在维持治疗期间出现肠梗阻,考虑疾病进展,且于2022年8月29日进行小肠造瘘术并进入四线治疗,从2022年10月采用斯鲁利单抗联合呋喹替尼进行治疗至今,PFS超过6个月,患者OS大于49个月。该病例提示对于后线MSS型mCRC患者,斯鲁利单抗联合抗血管生成药物可以为患者带来一定的生存获益。
 
△患者诊疗过程示意图
 
 
专家点评
 
在转移性结直肠癌中,MSI-H的患者仅占到5%左右,绝大多数患者是微卫星稳定型,即MSS型。MSS型结直肠癌属于免疫豁免型和免疫荒漠型患者群,自身缺乏缺乏效应T细胞,对免疫治疗不敏感,免疫检查点抑制剂难以发挥作用。
 
在MSS mCRC的免疫治疗策略探索中,靶向药物联合免疫治疗是重要的探索方向,抗血管生成药物是最常用的。免疫联合抗血管生成药物可以进行优势互补,以瑞戈非尼为代表的抗血管生成药物,主要是通过抑制VEGFR信号介导的Treg细胞[1],以及CSF1R信号介导的肿瘤相关巨噬细胞(TAMs)的活性[2],从而改造免疫微环境,为PD-1抗体激活的杀伤性T细胞更好的发挥作用创造条件。
 
REGONIVO研究[3]是首个证实既往已接受过2线治疗mCRC患者在后线采用免疫联合抗血管生成药物使患者获益的研究,入组25例患者总体ORR 36%,除1例MSI-H患者,其他MSS患者ORR仍高达33%,mPFS 7.9个月。除此之外抗血管生成药物联合PD-1/L1后线治疗MSS mCRC的研究有瑞戈非尼联合PD-1/L1单抗的REGOMUNE[4],REGOTORI[5]研究,以及应用呋喹替尼联合信迪利单抗的Ib期研究[6]、帕博利珠单抗联合仑伐替尼的LEAP-005研究[7]等,取得0%-22%ORR,mPFS 2-3个月。
 
该病例中的三野生MSS型mCRC患者,四线接受斯鲁利单抗联合抗血管生成药物进行治疗,安全性良好,获得PR近期疗效,PFS超过6个月,且目前仍在接受治疗持续获益中。斯鲁利单抗作为自主创新型的PD-1抑制剂,联合抗血管生成药物对晚期MSS肠癌进行治疗,为晚期肠癌的后线治疗提供新的选择。
 
▌参考文献
 
1、Shota Fukuoka,et al.2019 ASCO.Abs 2522
 
2、Hoff S,et al.Immunomodulation by regorafenib alone and in combination with anti PD1 antibody on murine models of colorectal cancer.Ann Oncol 28:v403-v427,2017
 
3、Fukuoka S,et al.Regorafenib Plus Nivolumab in Patients With Advanced Gastric or Colorectal Cancer:An Open-Label,Dose-Escalation,and Dose-Expansion Phase Ib Trial(REGONIVO,EPOC1603).J Clin Oncol.2020 Jun 20;38(18):2053-2061.doi:10.1200/JCO.19.03296.Epub 2020 Apr 28.PMID:32343640.
 
4、Sophie Cousin CAB,et al.2020 ASCO.Abs 4019.
 
5、Wang F,et al.2020 ESMO.Abs 433P.
 
6、Ye Guo,et al.2020 ASCO.Abs 2514
 
7、Gomez-Roca CA,et al.ASCO 2021.Abs 3564
 
病例作者简介
 
刘荧荧医生
襄阳市中心医院
华中科技大学同济医学院临床医学硕士、主治医师
擅长消化系统恶性肿瘤的放疗、化疗、靶向、免疫等个体化综合精准治疗
 
点评专家简介
 
龚志敏教授
主任医师,医学硕士
襄阳市中心医院肿瘤科副主任,腹部肿瘤I病区主任
湖北省抗癌协会胃癌专业委员会常务委员
CAGG肿瘤学分会放射治疗专业委员会常务委员
湖北省抗癌协会肿瘤心理学专业委员会常务委员
湖北省临床肿瘤学会精准放疗专家委员会委员
湖北省微循环学会肿瘤专业委员会委员

本内容仅供医学专业人士参考


MSS型肠癌

分享到: 更多