CSCO2021丨徐栋教授:热消融治疗颈部转移性淋巴结的思考与实战

作者:肿瘤瞭望   日期:2021/10/9 10:19:59  浏览量:15745

肿瘤瞭望版权所有,谢绝任何形式转载,侵犯版权者必予法律追究。

2021年9月25-29日,第二十四届全国临床肿瘤学大会暨2021年CSCO学术年会如约而至,大会主题为“聚焦创新研究,引领原创未来”。

编者按:2021年9月25-29日,第二十四届全国临床肿瘤学大会暨2021年CSCO学术年会如约而至,大会主题为“聚焦创新研究,引领原创未来”。28日,肿瘤消融治疗专场精彩呈现,中国科学院大学附属肿瘤医院(浙江省肿瘤医院)徐栋教授分享了热消融治疗颈部转移性淋巴结的注意事项与典型病例,为临床诊疗带来思考。
 
 
颈部是淋巴分布最集中的地方,可以收到如甲状腺癌、乳腺癌等多部位、多脏器的转移和侵袭。颈部转移性淋巴结是恶性肿瘤复发和转移的重要环节,徐栋教授对如何把握颈部转移性淋巴结热消融的适应症以及热消融的操作技巧展开了详细的论述,当前颈部转移性淋巴结的治疗进入了微创时代,其中热消融具有操作简便、侵袭性小、凝固范围稳定、安全性高、成本效益比合理等特点,可以作为颈部转移性淋巴结的选择性治疗方法之一,前景良好。
 
徐栋教授指出,针对颈部淋巴结转移,目前仅有甲状腺癌相关的热消融治疗共识,其他癌种尚欠缺共识与规范。因此,徐栋教授借鉴该共识对颈部转移性淋巴结热消融适应证予以归纳,包括:甲状腺癌规范性根治性治疗后,颈部淋巴结再次复发转移的;影像学、病理提示转移性淋巴结的;经评估患者不能手术或主观拒绝的;其他治疗无效的;转移性淋巴结与大血管、重要神经分离且有足够安全的操作空间的均可使用热消融。而若存在病灶位于Ⅵ区的、病灶对侧声带功能不正常;严重凝血功能障碍;重要脏器功能不全则为颈部转移性淋巴结热消融禁忌。
 
 
在临床实施热消融的时候,徐栋教授阐明了以下具体操作的注意事项:首先要根据消融对象的部位、范围、内部血供及与周边组织的关系来选择适当功率;其次,要注意麻醉方式与部位,进行超声诱导下的麻醉,若患者对麻醉药物过敏,则可采用针刺麻醉,并实施“液体隔离带”法予以保护;第三,在避免副损伤的前提下,尽可能达到局部根治,对于直径<1cm的淋巴结采用固定消融模式,>1cm的采用多点分次消融;第四,明确了长期随访的原则。
 
 
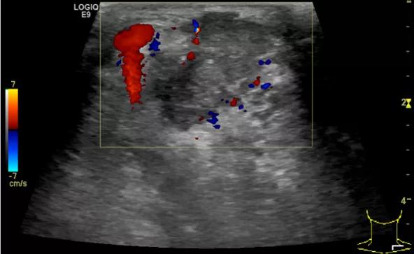
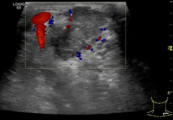
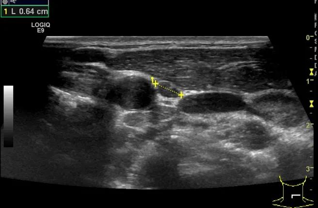
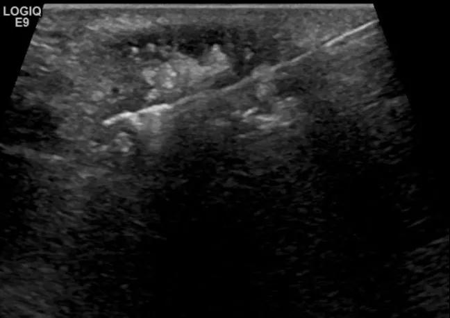
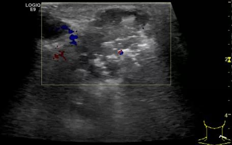
随后,徐栋教授进一步分享了五个临床实战病例,带来了更直观的热消融治疗经验。第一个病例是62岁肺癌患者,术后1年余发现双侧锁骨上淋巴结复发,侵犯神经,存在静脉回流、淋巴回流障碍,肿胀、疼痛非常明显。影像显示患者淋巴结边界不清、形态不规则,存在浸润,血流强化增强。由于患者在系统治疗后进展,且主要目的缓解症状、减瘤。局麻下行热消融术,从后向前逐层消融,热消融之后超声造影即刻评估显示完全充盈缺损,完全覆盖病灶。
 
 
 
 
(病例1图例)
 
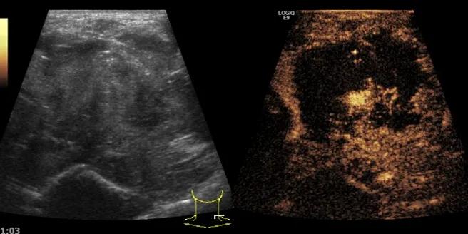
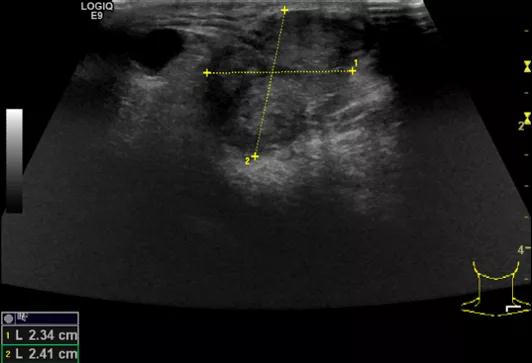
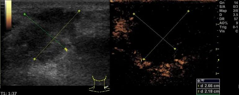
第二例是食管癌患者,术后半年余锁骨上固定淋巴结可触及肿大,疼痛非常明显,系统治疗后无缓解,患者希望通过局部处理缓解症状。造影显示强化信号明显,结节部分区域坏死,故主要针对强化区域从后向前的逐层的消融,皮下进行液体隔离减少烫伤。热消融后影像显示血流增强消失,弹性、硬度增高,一个月后复查显示充盈缺损,完全消融,疗效远超预期。
 
 
 
 
 
 
 
 
 
(病例2图例)
 
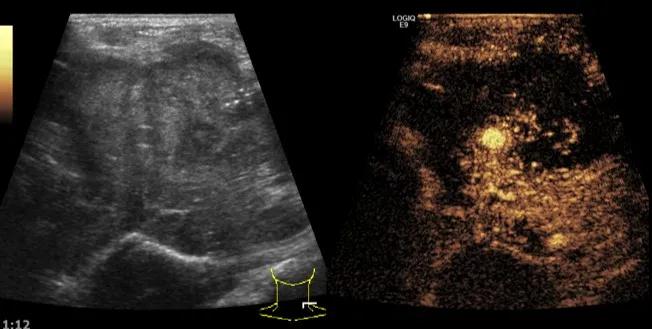
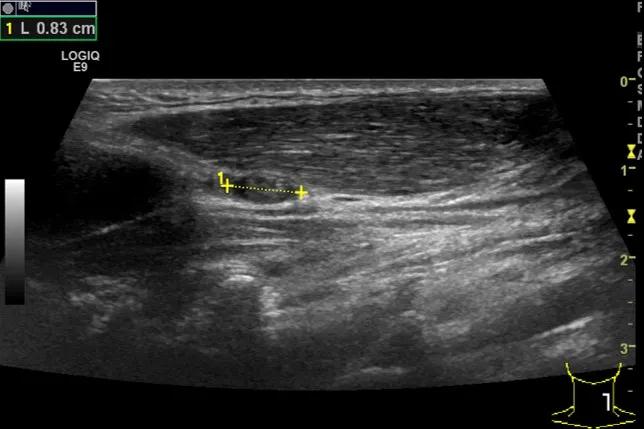
第三例是甲状腺癌患者,双侧甲状腺癌切除术后、碘治疗后一年余效果欠佳,超声显示左颈3区3枚低回声结节,穿刺示甲状腺乳头状癌转移。患者不愿意手术,希望采取局部治疗。对病灶进行液体隔离后采取热消融术,由于淋巴结较小,热消融一分钟左右完全灭活,术后增强影像显示没有脏器充填。
 
 
 
 
 
(病例3图例)
 
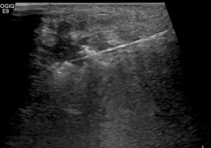
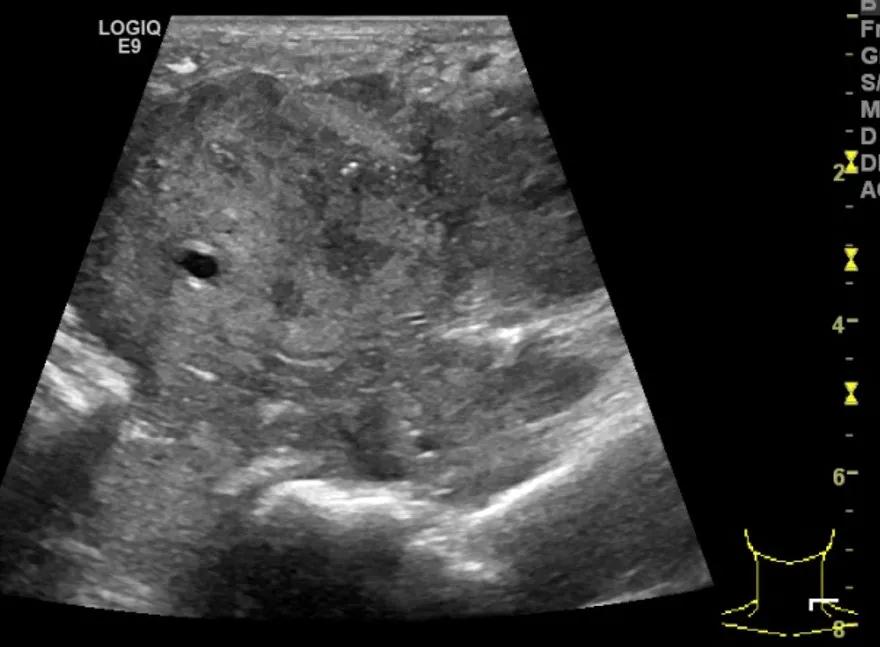
第四例是胸腺癌化妆包,术后、化疗之后淋巴结转移,肿块范围巨大,99mm*61mm,边界不清,呈浸润状,肿块包绕颈动脉,颈内静脉压闭,症状明显。由于患者放化疗也不敏感、血供非常丰富,于是采取多点姑息性消融。姑息性消融后未实现完全消融,病灶大片坏死,肿胀疼痛得到明显的缓解,后续患者未再来复查。
 
 
 
 
 
 
 
 
 
 
 
 
(病例4图例)
 
第5例是乳腺癌的患者,右乳恶性肿瘤术后化疗后1年出现淋巴结转移,患者基本情况差,拒绝放化疗,行局部热消融后也实现充盈缺损,术后一个月强化信号消失。
 
 
 
 
 
 
 
 
 
 
 
 
 
(病例5图例)
 
作者简介
 
 
徐栋教授
 
主任医师/教授 博士生导师
 
中国科学院大学附属肿瘤医院
 
CSCO肿瘤消融治疗专家委员会 常委
 
CSCO放射介入治疗专家委员会 常委
 
中国医师协会介入医师分会超声介入专业委员会 主任委员
 
中国抗癌协会肿瘤消融治疗专业委员会 副主任委员

本内容仅供医学专业人士参考


淋巴结

分享到: 更多