当前位置:肿瘤瞭望>资讯>正文

病例分享丨以ALL为首发的儿童CML患者的诊治体会

作者:肿瘤瞭望   日期:2020/9/27 11:47:48  浏览量:14932

肿瘤瞭望版权所有,谢绝任何形式转载,侵犯版权者必予法律追究。

病例介绍 患儿,15岁男孩,2020年2月因发热、腹胀、腹痛就诊于我院,查血常规白细胞增高、贫血、血小板减低(WBC 389.16×10^9/L,HGB 108g/L,PLT 88×10^9/L,外周血原始细胞比例24%)。体格检查提示脾脏重度大(肋下15cm),肝脏大(肋下8cm)。

张然然 杨文钰  中国医学科学血液病医院血液学研究所

 

 

病例介绍

?

 

患儿,15岁男孩,2020年2月因发热、腹胀、腹痛就诊于我院,查血常规白细胞增高、贫血、血小板减低(WBC 389.16×10^9/L,HGB 108g/L,PLT 88×10^9/L,外周血原始细胞比例24%)。体格检查提示脾脏重度大(肋下15cm),肝脏大(肋下8cm)。

 

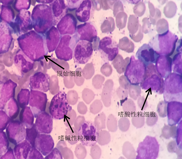
骨穿相关检查结果:骨髓细胞形态学示原始细胞比例占55%,中晚幼粒细胞、嗜酸及嗜碱性粒细胞均易见。骨髓活检示骨髓增生极度活跃(>90%),幼稚阶段细胞明显增多。流式细胞技术示原始细胞比例为29.5%,表达CD34/CD10/HLA-DR/CD38/CD19/TdT/cCD79a/mCD22。融合基因BCR/ABL P210阳性,定量为49.76% IS。FISH-BCR/ABL 阳性率98%,粒细胞、淋巴细胞、单核细胞、红细胞、巨核细胞均有阳性。染色体46,XY,t(9;22)(q34;q11.2)/[20] 。

 

 

 

 

图1:骨髓涂片:中晚幼粒细胞、嗜酸及嗜碱性粒细胞均易见

 

 

图2:FISH:原始细胞、粒细胞、单核细胞、红细胞、巨核细胞均有BCR/ABL 阳性

 

 

 

 

 

图3:染色体:46,XY,t(9;22)(q34;q11.2)/[20]

 

 

入院诊断及治疗经过:诊断慢性粒细胞白血病急变期(急淋变)。治疗上予以达沙替尼口服,同时按照CCCG-ALL-2015年方案予VDLD方案(地塞米松、长春新碱、柔红霉素、培门冬酰胺酶)诱导化疗。第19天复查骨髓涂片提示完全血液学缓解;BCR/ABL-P210定量为34.63%IS;染色体46,XY,t(9;22)(q34;q11.2)[14]/46,XY[6]。后序贯CAM方案(环磷酰胺、阿糖胞苷、巯嘌呤)化疗。第46天复查骨髓涂片提示完全血液学缓解;BCR/ABL-P210定量为36.28%IS;染色体46,XY,t(9;22)(q34;q11.2)/[20]。

 

2020年4月再次入院序贯行大剂量甲氨蝶呤方案巩固化疗,化疗期间出现急性肾功能衰竭,进行了血液透析治疗,肾功能恢复正常后停止静脉化疗,改为单用口服达沙替尼治疗。2020年6月为治疗后3月返院复查,骨髓涂片提示完全血液学缓解;BCR/ABL-P210定量为2.91%IS;染色体46,XY,t(9;22)(q34;q11.2)[2]/46,XY[18]。

 

 

诊疗体会

 

 

慢性粒细胞白血病(CML)是一种儿童罕见的恶性肿瘤,在儿童初诊白血病中占2-3%。儿童与成人的CML表现有所不同,儿童病例白细胞计数显著升高更为常见,巨脾比例较高。CML的自然病程分为慢性期、加速期、急变期。CML的患儿初诊时即表现为急变期而无慢性期和加速期的病例十分罕见。初诊BP-CML若表现为急性淋巴细胞白血病(ALL)则与费城染色体阳性的ALL (Ph+ ALL)临床表现十分相似,两者的鉴别诊断具有挑战性,但两种疾病的患儿后续的临床管理十分不同,因此需要提高对该疾病的认识。

 

1.关于疾病诊断:①通常认为,在没有CML慢性期病史的ALL患者,如果形态学表现出CML的特征,例如:髓系细胞粒细胞占优势、嗜酸性粒细胞和/或嗜碱性粒细胞比例增多,则可能被认为是CML的急淋变。②在CML中,BCR基因中的断点几乎完全位于主断点簇区(Mbcr)内(产生p210蛋白),在仅有1%的CML患者中,断点位于小簇区(mbcr) (产生p190蛋白)。在Ph+-ALL病例中,60 -77%的患者BCR的断点位于mbcr内,其余病例位于Mbcr内。③因为CML是一个干细胞疾病,BCR-ABL可以由淋巴原始细胞携带,但也由髓细胞携带,相反,在Ph+-ALL患者中,BCR ABL重排仅局限于原始淋巴细胞。因此,在粒细胞中进行FISH检测BCR-ABL重排,可以作为一个有用的决定性的工具来区分BP-CML急淋变和Ph+-ALL。本患儿均在上述三方面进行了检测,最终确诊为CML急淋变,在治疗过程中,在诱导化疗第19天取得了血液学的缓解,但是分子生物学及细胞遗传学均未缓解,与Ph+-ALL患儿的病程表现不同,从而也验证了上述诊断。

 

2. 关于疾病预后:据文献报道,在成人CML急变期的患者预后不理想,中位生存期不到12个月,成人的治疗指南建议,无论是初诊即为急变期的患者还是由慢性期进展而来的患者,均建议行造血干细胞移植(HSCT)。在儿童的病例研究中,儿童和青少年CML国际注册协会(I-CML-Ped-Study)报道了17例初诊即为BP-CML患儿的临床特征及预后,其中14例患儿采用TKI联合化疗,3例仅采用TKI单药治疗,17例患者中有11例接受HSCT治疗。最终,17例患者中13例存活(5年生存率74%),4例死亡(3例 HSCT, 1例没有HSCT),死亡原因均为疾病复发,中位随访28个月(范围16-78个月)。虽然数据有限,但是这些数据表明,儿童CML急变期的预后可能比成人好一些。

 

3.关于治疗方案:文献中建议急变期的患儿在诊断后即应用二代TKI,同时需要根据原始细胞免疫表型,进行白血病诱导治疗以获得慢性期。但是由于研究较少,异质性大且不受控制,因此无法提出具体的诱导化疗方案。目前关于儿童CML急变期的治疗方案尚未达成共识,HSCT相关的并发症和死亡率可能是显著的,因此,使用二代TKI而不进行移植的治疗策略是一个潜在的选择。本文患儿在诊断后均按照Ph+-ALL的治疗方案,采用TKI联合化疗的方案诱导治疗,取得了完全血液学缓解,但是在化疗期间出现了严重的化疗相关并发症,停止静脉化疗后单用TKI,3个BCR/ABL-P210定量小于10%IS。因此,对 BP-CML患儿初诊时采用何种方案诱导缓解,初诊时是否需要加用化疗以及采取何种化疗方案,均需要更多的病例研究来解决这个问题。

 

 

专家点评


杨文钰教授:慢性粒细胞白血病(CML)是儿童罕见的血液系统恶性肿瘤,与成人CML临床生物学特征差异显著。具有更高的白细胞数及高侵袭性。此例患者起病初期即表现为慢性粒细胞白血病急变期。临床诊断方面需要和ph(+)急性淋巴细胞白血病鉴别。治疗中以TKI靶向药物为主,联合化疗为辅,密切监测患者血液学、细胞遗传学及分子生物学缓解时间。患儿由CML急变期转为慢性期后应持续口服靶向药物治疗,是否选择造血干细胞移植需要根据患者分子生物学缓解深度,供者HLA配型相合程度以及家属意愿综合评估。

 

专家简介

 

 

杨文钰

副主任医师, 硕士生导师。主要从事儿童血液病的诊断、治疗及人类多潜能干细胞(hiPS)研究,专长儿童骨髓增生异常综合症/儿童骨髓增殖性肿瘤、幼年型粒单核细胞白血病及儿童慢性粒细胞白血病的诊断及治疗。现任中华医学会儿科学分会肿瘤学组委员,中国输血协会细胞治疗专业委员会委员,国家儿童医学中心血液肿瘤专科联盟委员, 天津医学会儿科学分会血液学组委员, 《国际儿科学杂志》通讯编委。承担了国家自然科学基金及教育部新教师基金,并参与多项国家级及卫生部等课题研究工作。研究成果多次在国际、国内会议做大会发言。发表SCI及国家核心期刊文章数篇

 

 

张然然

硕士研究生,主治医师,毕业于北京协和医学院,已顺利完成儿科学住院医师规范化培训,目前就职于中国医学科学血液病医院血液学研究所。主要研究方向为儿童白血病,儿童再生障碍性贫血。

 

 

本内容仅供医学专业人士参考


血液

分享到: 更多