编者按:本期“例精图治”中,天津医科大学第二医院的臧立医师为我们介绍了一例HER2阳性晚期胃癌伴有多处转移患者的多学科诊治过程,该患入院时并发症较多,整体状况较差,ECOG评分为4分。对其进行相应对症支持治疗后,患者情况好转,评估其HER2状态后开始对患者进行双靶抗HER2治疗。后根据患者状况进一步进行了方案调整,患者肿瘤持续缓解,目前该患者带瘤生存30个月。该病例提示,明确患者HER2状态,能够使患者得到更为针对性的治疗,使患者生存期更长。
病例介绍
患者田某某,男,66岁,已婚,2017年11月12日因“呕血、黑便伴失血性休克”送至天津市人民医院;期间呕咖啡样胃内容物2次,黑便7次。患者无肿瘤家族史,既往6年间断“胃痛”发作,口服抑酸药物可缓解。当时行血常规:Hb 3.1g/dL,PLT 83×109/L;
2017.11.13胃镜提示:溃疡型病变,胃息肉,慢性胃炎。
2017.11.15病理汇报提示:中-低分化腺癌;
外院诊断:弥漫型胃癌 腺癌 cTxNxM1(腹膜、淋巴结)IV期 消化道出血,ECOG 4。予以对症治疗后出院。
2017.11.12~2018.06.05因多次消化道出血分别在天津医科大学总医院、武警天津总队医院、天津市人民医院入院并予以输血、止血、抗感染等对症治疗,但持续存在3-4度血小板减少。患者呈恶液质状态,ECOG评分4分。当地判断病情处于终末期,无法行抗肿瘤治疗,仅行对症支持治疗。
2018年06月05日,患者由120送至天津医科大学第二医院肿瘤科。
入院后情况:血小板和纤维蛋白原进行性下降,3P试验弱阳性:弥散性血管内凝血(DIC),间断呕血,重度贫血貌,HGB 54g/L,呼吸困难进行性加重,B超提示腹腔大量积液进食后间断呕吐,查体闻及肠鸣音亢进,X线提示肠梗阻。间断发热,血常规及炎症指标偏高,合并感染禁食水,卧床不起,ECOG 4分。
发病后CT(外院2017.11):贲门胃底部溃疡性肿物考虑恶性,腹腔多发肿大淋巴结,考虑转移。
图表1-1:发病后CT(外院2017.11)
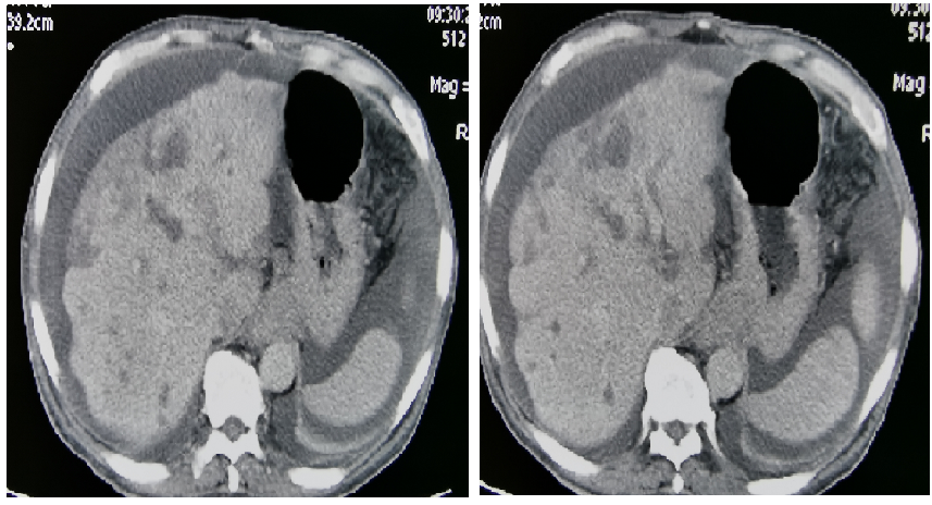
CT(外院2018.05):肝内多发占位,考虑转移;贲门胃底部溃疡性肿物;胃低及胃左动脉多发肿大淋巴结;考虑转移。
图表1-2:CT(外院2018.05)
行肝部病灶穿刺活检+二代基因测序:组织和血液均见高倍数的ERBB2扩增,组织免疫组化HER2+++
组织中可见ERBB2扩增
血液中可见ERBB2扩增
入院诊断:弥漫型胃癌 腺癌 cTxNxM1(腹膜、肝、淋巴结)IV期 贫血,肝功能异常,血小板减低,腹腔积液,感染,ECOG 评分4分。
患者活检及影像学诊断为IV期转移性胃癌伴大量腹腔积液,且患者合并出凝血功能紊乱,肠梗阻,感染等并发症,处于肿瘤终末状态,该患者是否能耐受抗肿瘤治疗?患者治疗方案应如何选择?
MDT讨论结果:该患者为胃癌晚期肿瘤终末状态,不适宜全身静脉化疗等高强度治疗,且患者既往多次消化道出血,无口服化疗药可能。结合患者个体情况,一般状况差(ECOG评分4分),FISH提示:HER2扩增,以及家属治疗意愿强烈,可尝试予以双靶向+对症支持治疗。
治疗经过:弥散性血管内凝血:输血、补充凝血因子、低分子肝素抗凝;腹腔积液:腹腔积液穿刺置管引流+顺铂腹腔注射;肠梗阻:胃肠减压、抑酸、抑酶;感染:调整抗生素。
ECOG 4分:营养支持、维持水电解质平衡、止痛→ECOG3-4分
2018-6-13抗HER2治疗方案:曲妥珠单抗联合帕妥珠单抗三周方案。
患者体温正常,炎症指标恢复正常;凝血功能恢复正常,血小板及白细胞回升并稳定在正常范围,腹腔积液明显减少,腹胀减轻,恢复排气排便。ECOG:由4分恢复至2分
2018-11-05加入S1单药化疗,6次靶向+2周期S1化疗后,肿瘤标记物下降:CEA 947ug/L → 23.5ug/L血常规恢复正常。肿瘤明显缩小,范围变少。ECOG 1分
图3
病灶缩小,疗效评价:PR

本例患者为初诊IV期胃癌,多发肝转移,淋巴结转移,就诊我科时处于肿瘤终末状态,无手术时机并且无法耐受全身静脉化疗,遂行肝部病灶穿刺活检,送检二代基因检测提示患者ERBB2扩增,予以双靶向抗HER2治疗,2周期靶向治疗后患者肝部转移灶较前缩小且患者状态较前明显好转,ECOG评分由4分恢复至2分,继续予以双靶向抗HER2治疗2周期后,患者状态进一步好转,肿瘤标志物持续下降,肝功能好转,并有口服化疗的可能,调整方案为双靶向HER2联合口服S1抗肿瘤治疗,患者肿瘤持续缓解,患者目前带瘤生存30个月,病情平稳,持续用药。
?
1、本例患者无疑是一例经过MDT诊治后获益很大的一例晚期胃癌病人!从2018年6月13日初诊治疗开始至今已经带瘤生存30多个月。该患者初始治疗时确诊为贲门胃底癌腺癌,弥漫型,肝转移、腹膜及腹腔淋巴结转移合并上消化道出血,伴有严重贫血,腹腔积液,肠梗阻,感染等并发症,病人处于恶液质状态,是一个胃癌终末期的患者。经过肝穿刺活检取得组织,同时做组织和血液的NGS基因检测,发现组织和血液中均可见高倍数的ERBB2扩增,免疫组织化学检测结果HER2+++。初诊时经MDT讨论认为患者处于肿瘤终末期,不适于全身静脉高强度的化疗且既往消化道多次出血,无口服化疗的可能,结合患者一般状况比较差,根据其HER2阳性这个特点,患者家属也有强烈治疗意愿,给予了曲妥珠单抗联合帕妥珠单抗治疗并同时对症支持治疗,并行腹腔注射顺铂的化疗。在病情好转稳定后加入了口服S1的化疗。
2、CSCO胃癌指南建议对于复发、转移病灶,再次进行HER2检测;韩国的GASTHER1研究提示胃癌肝转移与HER2阳性密切相关,肝转移灶HER2阳性患者比例高达17.2%,是其他复发/转移灶患者的5.88倍。该病例对于肝转移灶进行穿刺活检再次明确HER2状态是值得肯定的,为后期治疗带来了更多价值。
3、ToGA研究奠定了曲妥珠单抗在HER2阳性胃癌一线治疗中的基础地位。对于HER2阳性乳腺癌患者,有研究表明,相比于曲妥珠单抗联合化疗,帕妥珠单抗联合曲妥珠单抗联合化疗,可使晚期患者中位总生存期延长15.7个月。那么同样是HER2阳性表达的胃癌呢?是否也能从双靶向治疗中获益?2018年9月Lancet Oncol在线发表JACOB研究结果给出了答案。
JACOB 是一项大型多中心、双盲3期随机对照研究。共纳入来自30个国家197家医疗机构的780名初治 HER2 阳性转移性胃癌或胃食管结合部癌患者,1:1随机接受帕妥珠单抗 840 mg(n=388)或安慰剂(n=392)Q3W,联合曲妥珠单抗(负荷量 8 mg/kg,之后 6 mg/kg Q3W)和化疗(顺铂 80 mg/m2,卡培他滨 1000 mg/m2 Bid或5-氟尿嘧啶 800 mg/m2 Q3W)治疗。根据地理区域,胃切除术史和 HER2 阳性分层,主要研究终点是OS。
研究结果表明:双靶向治疗组中位随访时间为24·4个月,对照组为25.0个月。双靶向治疗组 OS为 17.5 个月,对照组为 14.2 个月(HR 0.84,P=0.057),无显著差异。说明帕妥珠单抗加入曲妥珠单抗和化疗并未显著改善HER2阳性转移性胃癌或胃食管连接癌患者的总体生存率,需要进一步研究确定可能受益于双靶向治疗的患者。尽管这是一个阴性的试验,但是在晚期这个预后差的患者人群中看到了3.3月的OS延长,并且PFS明显延长,ORR明显提高,也促使我们进一步探索,提示我们在晚期胃癌中双靶治疗是值得尝试的治疗方案。
4、分析本例患者治疗获益的原因,可以确定首先是来自于积极的抗HER2治疗,患者尽管初治时没有使用全身的联合化疗,但是腹腔注射使用了顺铂,说明即使单药联合抗HER2治疗,也会取得很好疗效。再后续之间过程中加入了口服的S1,说明氟尿嘧啶类药物联合顺铂是曲妥珠单抗联合化疗治疗胃癌的最佳化疗伴侣。
5、本例患者积极的对症营养支持治疗是获得长期获益的基础。通过止血营养支持以及抗感染治疗等措施,改善了患者的体质和生活质量,提高了对于后续治疗的耐受性,提示对于HER2阳性胃癌,即便一般情况很差,也不要放弃积极对症营养支持治疗,为抗HER2创造有利条件!
6、本例患者使用了曲妥珠联合帕妥珠单抗治疗过程中并没有看到特殊的不良反应出现,说明即便是病情晚合并症特别严重的晚期患者也能很好地耐受双靶联合治疗,用药安全性比较好!随着病情好转,将有机会加入更多的抗肿瘤药物,病人病情稳定,生活质量提高,可以考虑今后联合抗PD-1的免疫治疗,或许该患者还会有更多获益!
天津医科大学第二医院肿瘤科住院医师
肿瘤学专业型硕士,技术特长:主攻膀胱癌,前列腺癌,结直肠癌,肺癌,淋巴瘤等诊断及化疗,分子靶向治疗,免疫治疗,发表中华系列及国内核心期刊论文多篇。
山西省肿瘤医院消化三科主任,主任医师
中国抗癌协会肿瘤营养与支持专业委员会肿瘤营养化疗学组委员
中国医师协会外科医师分会MDT专业委员会委员
中国抗癌协会肿瘤靶向治疗专业委员会委员
中国胃肠肿瘤专家协作组(CGOG)委员
山西省抗癌协会胃癌癌专业委员会副主任委员
山西省抗癌协会肿瘤营养与支持专业委员会常委
山西省抗癌协会大肠癌专业委员会常委
山西省抗癌协会肝癌专业委员会常委
山西医科大学肿瘤学副教授
山西省抗癌协会康复与姑息治疗专业委员会委员