当前位置:肿瘤瞭望>资讯>正文

双靶治疗,异曲同优丨一例汉曲优联合帕妥珠单抗新辅助治疗HER2阳性乳腺癌的病例分享

作者:肿瘤瞭望   日期:2022/9/13 16:02:19  浏览量:13153

肿瘤瞭望版权所有,谢绝任何形式转载,侵犯版权者必予法律追究。

乳腺癌是女性在全球范围内发病率最高的恶性肿瘤之一,新发病例数高居女性恶性肿瘤的第一位。

▌病例作者:邓莉俐 医生 广西医科大学第一附属医院
▌点评专家:钟进才 教授 广西医科大学第一附属医院、蒿艳蓉 教授 广西壮族自治区人民医院
 
编者按:乳腺癌是女性在全球范围内发病率最高的恶性肿瘤之一,新发病例数高居女性恶性肿瘤的第一位。HER2阳性乳腺癌占乳腺癌总人群大概20%左右,其侵袭性强、进展迅速、预后较差,曲妥珠单抗的问世极大的改善了这部分患者的预后,汉曲优?作为国内首个上市的曲妥珠单抗生物类似药,疗效等同于原研曲妥珠单抗。本文通过一例HER2阳性乳腺癌使用汉曲优联合帕妥珠单抗进行治疗的病例,探讨了HER2阳性乳腺癌患者的治疗选择。(注:本文中汉曲优为复宏汉霖研发生产的曲妥珠单抗)

病史简介
 
患者:女,37岁 
 
主诉:右乳肿物2月余,确诊右乳癌19天。
 
婚育月经史:已婚,G2P2,平素月经正常,未绝经状态。
 
既往史及家族史无特殊。
 
查体:ECOG 0分,右乳12点钟方向触及一大小约5.0*5.0cm肿物,质硬,活动度一般,边界清,无明显压痛。右侧腋窝多发淋巴结肿大,较大约1.6×0.8cm。左侧腋窝未触及淋巴结肿大。
 
▌影像学检查:
 
2022-02-21 乳腺彩超提示:右乳腺内探及一个低回声团,大小约2.8×2.0cm(12点),BI-RADS分类 4c类,右侧腋窝探及多个低回声团,较大1.6×0.8cm,考虑转移;
 
2022-2-22 乳腺钼钯示:右乳上象限见一大小约2.1×1.8cm的类圆形稍高密度肿块,其内未见钙化, BI-RADS分类为4c类。
 
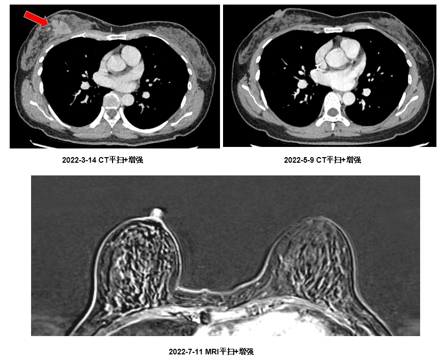
2022-3-14 CT平扫+增强提示:右乳内见一结节状软组织影,大小约2.9×2.9cm,边界毛刺、分叶。
 
▌治疗前穿刺病理结果:
 
2022-2-22病理:(右乳肿物)乳腺浸润性癌。
 
2022-3-4免疫组化:ER*(+90%,中-强),PR*(-),HER2*(3+),Ki-67#(+约50%)
 
HE染色
 
入院诊断:右侧乳腺恶性肿瘤(cT2N1M0 IIb期 HER2阳性 HR阳性)
 
治疗经过
 
▌新辅助治疗:
 
2022年3月17日至2022-07-21行6周期TCbHP曲妥珠单抗(汉曲优 首次8mg/kg d1,后续6mg/kg,ivgtt)+帕妥珠单抗(首次840mg d1,后续420mg, ivgtt)+多西他赛110mg d1 ivgtt +卡铂500mg d1 ivgtt,q3w*6周期
 
▌治疗后观察:
 
2周期 2022-5-9 CT平扫+增强提示:右乳未见明确肿块影。
 
4周期 2022-6-22 CT平扫+增强提示:右乳未见明确肿块影。
 
6周期 2022-7-11MRI平扫+增强提示:两侧乳腺呈多腺体型,腺体组织呈斑片、斑索状、结节状信号增高影,信号不均匀,边缘模糊;DWI未见弥散受限,两侧乳腺象限未见明确肿块及异常强化征象。两乳皮肤、乳头未见异常。
 
 
治疗6周期后,2022-7-11乳腺MRI未见明显肿物,疗效评估CR。
 
▌手术方式:
 
2022年08月12日在手术室全麻下行保留乳房的右侧乳腺癌切除术伴前哨淋巴结活检术。
 
▌术中冰冻病理:
 
(切缘1-7)未见癌。
 
(基底切缘)未见癌。
 
(乳晕复合体)未见癌。
 
(前哨淋巴结(蓝染))淋巴结2枚,均未见癌。
 
(前哨淋巴结(无蓝染))淋巴结2枚,均未见癌。
 
▌术后病理:
 
(右乳组织)新辅助治疗后根治术标本,送检乳腺组织经充分取材,病理评估:5级,已无浸润性癌,周围未见导管内癌成分(Miller-Payne分级系统)。未见脉管癌栓及神经束侵犯。外科切缘未见累及。
 
▌后续治疗:
 
曲妥珠单抗(汉曲优)+帕妥珠单抗靶向辅助治疗至1年、局部放疗
 
病例小结
 
对于T>2cm 的HER2阳性早期乳腺癌目前指南均推荐行术前新辅助治疗。曲妥珠单抗作为第一个抗HER2治疗的大分子单抗药物,降低了HER2阳性早期乳腺癌50%的复发风险。曲妥珠+帕妥珠+化疗的新辅助治疗方案进一步提高了患者的pCR率,显著改善患者长期生存。该病例为一例T>2cm早期HER2阳性乳腺癌,经6周期曲妥珠单抗(汉曲优)+帕妥珠单抗+化疗的新辅助治疗后疗效显著提高,患者获得保乳手术机会,并达到病理pCR状态,争取到了治愈的机会。
 
专家点评
 
1.曲妥珠单抗是HER2阳性乳腺癌治疗的基石
 
HER2是乳腺癌不良预后的指标,随着抗HER2靶向治疗药物的不断涌现,越来越多的抗HER2药物用于乳腺癌的新辅助治疗,提高了缓解率,改善了患者的无疾病生存率(DFS)和/或总体生存率(OS)。
 
NOAH研究证实化疗联合曲妥珠单抗比单用化疗获得更高的pCR率(38% vs 19%),同时也提升了EFS(71% vs 56%),而获得pCR的患者较non-pCR患者可获得更长的DFS和OS[1]。NeoSphere研究对比了TH(紫杉类+曲妥珠单抗)×4、THP (紫杉类+曲妥珠单抗+帕妥珠单抗)×4 、HP (曲妥珠单抗+帕妥珠单抗)×4、TP (紫杉类+帕妥珠单抗)×4在HER2阳性乳腺癌新辅助治疗中的疗效,结果显示pCR率THP组明显优于TH组(45.8% vs 29.0%,P= 0.0141),TH组优于HP组(29.0% vs 16.8%,P=0.0198),毒副作用方面TH、THP、TP严重不良事件发生率相似[2]。该研究发现在曲妥珠单抗联合紫杉类药物的基础上加用帕妥珠单抗可进一步提高HER2阳性患者的pCR率。PEONY研究进一步验证了NeoSphere研究结果,证实了THP方案在亚洲人群应用的安全性和有效性[3]。
 
基于以上临床研究结果,目前在新辅助治疗阶段,适合单靶治疗的病人均推荐双靶治疗。2022年《CSCO乳腺癌诊疗指南》将曲妥珠单抗联合帕妥珠单抗和化疗纳入HER2阳性乳腺癌患者的新辅助治疗一级推荐方案[4]。
 
本案例中,患者使用的首个中欧双批的国产曲妥珠单抗汉曲优,临床获益明显。
 
2. 曲妥珠单抗生物类似药应用的合理性
 
汉曲优是复宏汉霖研发的首个中国、欧盟获批上市的曲妥珠单抗生物类似药,其全球多中心Ⅲ期临床研究结果显示,汉曲优组(n=324)和EU-曲妥珠单抗组(n=325)的24周客观缓解率(ORR24w)分别为71.3%和71.4%,组间差异为-0.1%(95%置信区间:-7%,6.9%),完全落在预设的等效范围内(±13.5%),达到主要终点;关键次要终点3年OS率分别为57.5% vs.54.0%,无显著统计学差异(P>0.05),证明汉曲优与原研曲妥珠单抗疗效等效,安全性相似[5]。
 
目前,全球各大指南,如NCCN指南[6]、ESMO指南[7]以及中国CSCO指南[5]和CACA-CBCS指南[8]均提出,曲妥珠单抗生物类似药与原研产品疗效等同,安全性相似,临床上可以替代使用。
 
参考文献:
 
1、Gianni L, Eiermann W, Semiglazov V, et al. Neoadjuvant chemotherapy with trastuzumab followed by adjuvant trastuzumab versus neoadjuvant chemotherapy alone, in patients with HER2-positive locally advanced breast cancer (the NOAH trial): a ran-domised controlled superiority trial with a parallel HER2-negative cohort[J].Lancet, 2010, 375(9712):377-384.
 
2、Gianni L, Pienkowski T, Im YH,et al. 5-year analysis of neoadjuvant pertuzumab and trastuzumab in patients with locally advanced, inflammatory, or early- stage HER2- positive breast cancer (Neo Sphere): a multicentre, open- label, phase 2 randomised trial[J].Lancet Oncol,2016,17(6):791-800.
 
3、Shao Z, Pang D, Yang H, et al. Efficacy, safety, and tolerability of pertuzumab, trastuzumab, and docetaxel for patients with early or locally advanced ERBB2- positive breast cancer in Asia: The PEONY Phase 3 Randomized Clinical Trial[J].JAMA Oncol,2020,6(3):e193692.
 
4、中国临床肿瘤学会指南工作委员会. 乳腺癌诊疗指南2022版[J]. 2022.
 
5、XU B, ZHANG Q, SUN T, et al. Efficacy, Safety, and Immunogenicity of HLX02 Compared with Reference Trastuzumab in Patients with Recurrent or Metastatic HER2-Positive Breast Cancer: A Randomized Phase III Equivalence Trial[J]. BioDrugs, 2021.
 
6、NCCN Clinical Practice Guidelines in Oncology (NCCN Guidelines?) Breast Cancer,NCCN Guidelines for Patients? available at www.nccn.org/patients. 2022. Version 2.2022
 
7、Cardoso, F., et al., 5th ESO-ESMO international consensus guidelines for advanced breast cancer (ABC 5). Ann Oncol, 2020. 31(12): p. 1623-1649
 
8、中国抗癌协会乳腺癌专业委员会,中国抗癌协会乳腺癌诊治指南与规范(2021版)
 
病例作者简介
 
 
邓莉俐 主治医师
 
广西医科大学第一附属医院
 
肿瘤内科主治医师、医学博士
 
长期从事肿瘤内科临床诊治工作,专长乳腺癌、胃肠道肿瘤等实体瘤的诊断与治疗
 
病例点评专家简介
 
 
钟进才 教授
 
广西医科大学第一附属医院肿瘤内科一区主任医师 硕士生导师
 
中国抗癌协会肿瘤营养与支持治疗专业委员会化疗学组全国委员
 
中国南方肿瘤协作组乳腺癌专业委员会常务委员
 
广西临床肿瘤学会副会长
 
广西临床肿瘤学会乳腺癌专业委员会主任委员
 
广西医学会肿瘤化疗学分会副主任委员
 
广西抗癌协会癌症康复与姑息治疗专业委员会副主任委员
 
广西抗癌协会肿瘤化疗专业委员会常务委员
 
广西医师协会肿瘤科医师分会常务委员
 
广西抗癌协会第七届理事会理事
 
中华医学会广西疼痛学分会常务委员
 
 
蒿艳蓉 教授
 
医学博士,主任医师
 
广西壮族自治区人民医院(广西医学科学院 )科研部主任、临床肿瘤中心肿瘤内科一区主任,博士研究生导师
 
中国癌症基金会肿瘤心理学协作组委员
 
中国医药教育协会肿瘤转移专业委员会委员
 
广西临床肿瘤学会(GSCO)第一届副会长
 
广西医学会肿瘤生物靶向治疗学分会主任委员
 
GSCO第一届肿瘤支持与康复治疗专委会主任委员
 
GSCO第一届肺癌专业委员会副主任委员
 
广西医师协会临床精准医疗专业委员会副主任委员
 
广西抗癌协会第二届肺癌专业委员会副主任委员
 
广西抗癌协会肿瘤药物临床研究专业委员会副主任委员
 
广西抗癌协会第一届肿瘤心理学专业委员会副主任委员

本内容仅供医学专业人士参考


乳腺癌

分享到: 更多