当前位置:肿瘤瞭望>资讯>研究>正文

投石问路,三阳性乳腺癌治疗选择丨一例HER-2+/HR+局部晚期乳腺癌的病例分享

作者:肿瘤瞭望   日期:2022/4/2 10:06:28  浏览量:15251

肿瘤瞭望版权所有,谢绝任何形式转载,侵犯版权者必予法律追究。

乳腺癌是全世界女性最常见的恶性肿瘤,2021年世界卫生组织(WHO)最新癌症报告显示,乳腺癌已超过肺癌,成为全球第一大癌症,严重威胁女性身体健康。

病例作者:云南省肿瘤医院 杨思原
病例点评专家:云南省肿瘤医院 张季
 
乳腺癌是全世界女性最常见的恶性肿瘤,2021年世界卫生组织(WHO)最新癌症报告显示,乳腺癌已超过肺癌,成为全球第一大癌症,严重威胁女性身体健康。其中HER-2阳性乳腺癌的恶性程度较高,更易复发和转移,约占全部乳腺癌的20%~30%。而在HER-2阳性乳腺癌中,有50%的患者为HR阳性,即三阳性乳腺癌。这类乳腺癌细胞同时受到HER-2和ER两条信号传导通路的激活,且两条通路间存在交叉应答,其临床特点和预后与单纯HER-2阳性和HR阳性乳腺癌不同,因此,如何优化三阳性乳腺癌的治疗方案是临床关注的问题之一。对于三阳性乳腺癌,以曲妥珠单抗为基础的抗HER-2治疗的重要性不言而喻,汉曲优®作为国内首个上市的曲妥珠单抗生物类似药,疗效等同于原研曲妥珠单抗。本文通过一例汉曲优®联合帕妥珠单抗和OFS+AI治疗的HER2+/HR+乳腺癌病例,阐述了国产曲妥珠单抗和帕妥珠单抗联合应用的显著疗效,同时分享三阳性乳腺癌的诊疗思路。
 
(注:本文中汉曲优®为复宏汉霖研发生产的曲妥珠单抗)
 
病史简介
 
患者:女,43岁
 
主诉:确诊左乳癌4天。
 
既往史:无高血压、糖尿病等慢性病史
 
婚育月经史:已婚,孕1产1,未绝经
 
家族史:否认乳腺癌及其它恶性肿瘤家族史
 
现病史:患者1月前,发现左乳肿物,自诉如“馒头”大小,无触痛,无皮肤红肿,患者未予重视;于1周前在外院就诊,完善钼靶及 B 超检查后提示左乳乳腺炎可能,予以头孢抗炎治疗3天,因抗炎治疗后左乳肿块未见缩小,遂行左乳肿块穿刺活检术,术后病检示:左乳浸润性导管癌。

体格检查:双乳外观对称,乳房皮肤颜色正常,双侧乳头无回缩,左乳外上象限可见穿刺点周围皮肤青紫,穿刺点无破溃、流血,左乳外象限及下象限可触及一大小范围约 9.0*4.0cm 肿块,质硬,边界不清,活动度差,与周围组织无黏连。
 
左腋窝可触及一大小约 2.5*2.0cm 肿大淋巴结,质硬,边界不清,活动度差。右乳及右腋窝双侧锁骨上淋巴结未及明显肿大。
 
影像学检查
 
2021-11 乳腺超声:左乳内上象限11点钟至外下象限4点钟方向乳头中央区深面可见一个异常回声区,与导管关系密切,局部延伸至乳头中央区深面,范围约10.5×1.8cm,距皮4mm,形状呈不规则形,边界不清,肿块内部可见丰富紊乱的血流信号。左侧腋窝可见3-4个异常实质回声,大小不等,最大约2.7×1.5cm,形状呈不规则,边界欠清楚。
 
2021-11 乳腺MRI:左乳上份、外上象限见一不规则等T1,等-稍长T2信号肿块,大小约8.2cm×3.7cm×6.5cm,ADC值最低处0.71×10E-3mm2/s,动态增强扫描不均匀显著强化。左腋下多枚肿大淋巴结,大者约2.2cm×1.3cm,增强明显不均匀强化。形状呈不规则,边界欠清楚。
 
图1. 新辅助治疗前乳腺超声
 
图2. 新辅助治疗前乳腺MRI
 
胸腹CT、头核磁、全身骨扫描未见明显异常。
 
乳房病灶及腋窝淋巴结穿刺病理:
 
2020-10-26外院行左乳肿块穿刺术,术后病检示:左乳浸润性导管癌
 
免疫组化结果示: ER(50%),PR(70%),HER-2(3+),Ki-67(60%)
 
2020-11-06我院行左腋窝淋巴结穿刺活检术,术后病检示:“左腋窝淋巴结”浸润性癌,组织学Ⅲ级
 
免疫组化结果:ER(中-强+,约80%),PR(强+,约90%),Cerb-B2(3+),Ki67(+,约40%)
 
图3. 免疫组化Cerb-B2
 
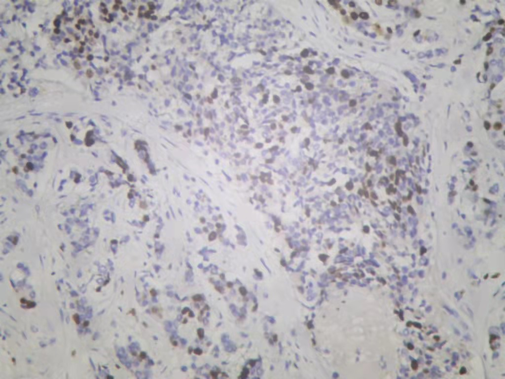
图4. 免疫组化PR
 
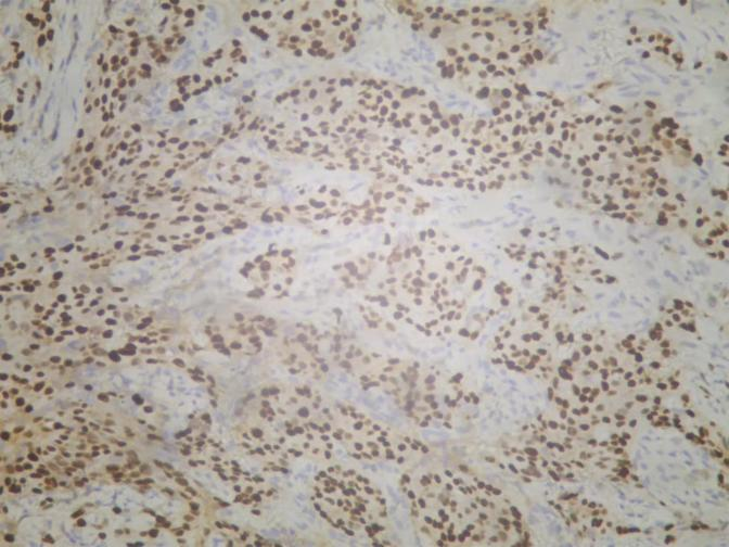
图5. 免疫组化ER
 
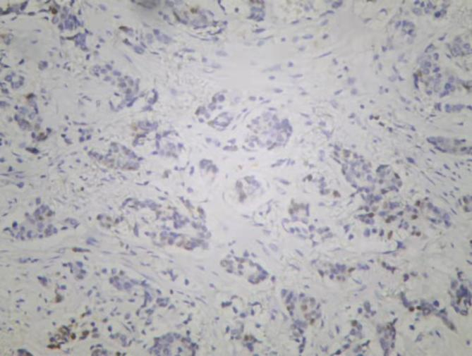
图6. 免疫组化Ki-67

初步诊断:
 
1.左乳浸润性导管癌,cT3N1M0,ⅢA期 Luminal B型(HER2阳性)
 
2.左腋窝淋巴结继发恶性肿瘤 
 
治疗经过与疗效评估
 
新辅助治疗:
 
白蛋白紫杉醇400 mg+卡铂0.5 g+曲妥珠单抗(汉曲优®)(首剂560 mg,后续420 mg)+帕妥珠单抗(首剂840 mg,后续420 mg),3周一次。
 
OFS:GnRHa(醋酸戈舍瑞林缓释植入剂,3.6mg),4周一次。
 
疗效评估:
 
 
 图7. 上图为治疗前,下图为治疗6周期后
 
表1. 左乳房病灶治疗疗效评估
 
表2. 腋窝淋巴结退缩状况评估
 
治疗6个周期后,乳腺增强MRI显示靶病灶明显缩小,临床疗效评估为PR;腋窝靶病灶消失,临床疗效评估为CR。
 
手术方式:
 
左乳癌不保留乳头乳晕皮下腺体切除术+左腋窝淋巴结清扫术+扩张器植入术
 
术后病理:
 
(左侧)瘤床内未见明确浸润性癌成份
 
新辅助治疗后反应分级(MILLER-PAYNE分级系统):5级(无浸润性癌成份)
 
淋巴结转移情况:阴性伴化疗后反应:1/17 ,阴性无化疗后反应:16/17,阳性伴化疗后反应:0/17, 阳性无化疗后反应:0/17。
 
总计(阳性淋巴结/淋巴结总数):(0/17)未见癌转移。
 
术后病理分期:ypT0N0M0
 
后续治疗方案:
 
1、术后区域放疗
 
2、靶向治疗:继续曲妥珠单抗(汉曲优®)+帕妥珠单抗双靶向治疗至1年
 
3、内分泌治疗:OFS(醋酸戈舍瑞林缓释植入剂)+来曲唑
 
病例小结:
 
该患者发现左乳肿物时即伴有同侧腋窝淋巴结肿大,同时左乳腺及腋窝淋巴结穿刺病理证实为乳腺癌伴腋窝淋巴结转移,可明确诊断为HER2阳性局部晚期乳腺癌。根据CSCO[1]、NCCN[2]等指南推荐,此类患者建议进行新辅助治疗。根据分子分型,该患者为绝经前HER2+/HR+乳腺癌,新辅助治疗阶段制定了以紫杉醇和铂类为基础,并联合HP“双靶”的6周期治疗方案,同时全程接受戈舍瑞林进行卵巢功能保护。
 
新辅助治疗期间采用乳腺核磁评估疗效,6周期治疗后肿瘤退缩良好,乳腺增强MRI显示靶病灶明显缩小,临床疗效评估为PR;腋窝靶病灶消失,临床疗效评估为CR。同时术后病理显示该患者病灶中无浸润性癌成分残留,Miller-Payne分级为G5,腋窝淋巴结无癌残留,达到pCR。鉴于HER2阳性乳腺癌侵袭性强、预后不良,抗HER2治疗都应该贯穿始终。所以对于新辅助治疗后达到pCR的患者,指南推荐继续应用双靶治疗。内分泌治疗的选择上考虑到患者为绝经前女性,术前T3及腋窝淋巴结转移等高危因素,根据指南推荐,应用了OFS+AI的治疗方案。
 
专家点评
 
1、三阳性乳腺癌机制复杂,抗HER-2靶向治疗仍然是治疗的基础
 
ER和HER-2介导的信号传导通路在多个环节上相互交叉,彼此影响。这种错综复杂的关系直接影响到内分泌药物以及HER-2靶向药物治疗“三阳性”乳腺癌的疗效。雌激素和ER结合,诱导ER活化,并激活下游信号传导通路,使多种蛋白激酶磷酸化,活化的ER与胞核中的一些共活化分子(如AIBl等)形成复合物,显著增加HER2转录活性,使肿瘤细胞获得生长优势。
 
近20年来,抗HER-2靶向治疗极大改善了HER-2+乳腺癌患者的生存结局。不管是单靶时代的HERA、H0648g、CHAT、NOAH研究,还是双靶时代的APHINITY、NeoSphere、CLEOPATRA、TRYPHAENA等研究,众多大型试验的亚组分析均显示,无论HR状态如何,患者在新辅助治疗、辅助治疗或晚期治疗阶段均可从曲妥珠单抗或曲妥珠单抗联合帕妥珠单抗的治疗中显著获益。
 
TAnDEM、eLEcTRA、EGF30008研究证实曲妥珠单抗或小分子靶向药联合芳香化酶抑制剂(AI)相比单用AI显著延长HER2+/HR+MBC患者PFS[3-5]。而且PERTAINⅡ期临床研究也证实曲妥珠单抗联合帕妥珠单抗双靶的基础上联合AI的PFS优于曲妥珠单抗单靶联合AI[6]。基于SOFT和TEXT[7-8]临床试验的结果,对于辅助内分泌治疗的绝经前女性患者,如存在较高复发风险(如发病年龄轻、高级别肿瘤、淋巴结受累),应考虑卵巢功能抑制(OFS)+芳香化酶抑制剂(AI)治疗。综上所述,HER-2阳性的乳腺癌患者,单纯内分泌治疗疗效相对较差,而ER过表达也同样影响HER-2阳性乳腺癌患者接受曲妥珠单抗治疗的疗效,因此,同时阻断上述两个通路可能会提高这部分乳腺癌患者的治疗效果。
 
2、汉曲优®-曲妥珠单抗联合内分泌治疗,疗效显著,耐受性良好
 
为满足全球患者对高质量、可负担药物的需求,中国企业依照欧盟和中国生物类似药法规,历经10年自主研发出“中国籍”注射用曲妥珠单抗,2020年汉曲优®在欧盟及中国同步上市。根据《CSCO中国生物类似药专家共识》:生物类似药与参照药疗效等同、安全性相似,临床上可以替代使用。本例患者在持续使用“曲(汉曲优®)帕(帕捷特®)”双靶治疗的过程中,获得了令人满意的临床疗效。同时也并未在治疗阶段出现特殊安全性问题,如心力衰竭,输注反应,肺部反应等,疗效显著,耐受性良好。
 
参考文献:
 
[1] 中国临床肿瘤学会指南工作委员会. 乳腺癌诊疗指南2021版[J]. 2021
 
[2] NCCN Clinical Practice Guidelines in Oncology (NCCN Guidelines)Breast CancerCCN Guidelines for Patients available at www.nccn.org/patients [J]. 2021, Version 1.2021 -January 15, 2021.
 
[3] JOHNSTON S,PIPPEN J, JR.,PIVOT X,et al. Lapatinib combined with letrozole versus letrozole and placebo as first-line therapy for postmenopausal hormone receptor-positive metastatic breast cancer[J]. J Clin Oncol, 2009, 27(33): 5538-5546. DOI: 10.1200/JCO.2009.23.3734.
 
[4]  HUOBER J,FASCHING P A,BARSOUM M,et al. Higher efficacy of letrozole in combination with trastuzumab compared to letrozole monotherapy as first-line treatment in patients with HER2-positive, hormone-receptor-positive metastatic breast cancer - results of the eLEcTRA trial[J]. Breast, 2012, 21(1): 27-33. DOI: 10.1016/j.breast.2011.07.006.
 
[5]  JOHNSTON S,PEGRAM M,PRESS M,et al. Lapatinib combined with letrozole vs. letrozole alone for front line postmenopausal hormone receptor positive (HR+) metastatic breast cancer (MBC): First results from the EGF30008 Trial[J]. Cancer Research, 2009, 69: 46-40. DOI: 10.1158/0008-5472.SABCS-46.
 
[6]  RIMAWI M,FERRERO J M,DE LA HABA-RODRIGUEZ J,et al. First-Line Trastuzumab Plus an Aromatase Inhibitor, With or Without Pertuzumab, in Human Epidermal Growth Factor Receptor 2-Positive and Hormone Receptor-Positive Metastatic or Locally Advanced Breast Cancer (PERTAIN): A Randomized, Open-Label Phase II Trial[J]. J Clin Oncol, 2018, 36(28): 2826-2835. DOI: 10.1200/JCO.2017.76.7863.
 
[7] Francis PA, Regan MM, Fleming GF, et al. Adjuvant ovarian suppression in premenopausal breast cancer. N Engl J Med. 2015;372(5):436-446. doi:10.1056/NEJMoa1412379
 
[8] Pagani O, Regan MM, Walley BA, et al. Adjuvant exemestane with ovarian suppression in premenopausal breast cancer. N Engl J Med. 2014;371(2):107-118. doi:10.1056/NEJMoa1404037
 
病例作者简介
 
杨思原
 
云南省肿瘤医院乳腺外三科 住院医师
 
主要从事乳腺癌综合治疗及乳腺癌术后乳房美容的临床研究
 
主持和参与科研课题3项,发表学术论文10余篇,其中SCI 3篇,参编著作3部;
 
多次获得昆明医科大学临床技能大赛一、二等奖及全国高等院校西南西北赛区临床技能大赛三等奖
 
云南省首届卫生健康科普讲解大赛“优胜奖”
 
2021年CSCO“百例挑一”病例大赛“最受欢迎病例奖”
 
病例点评专家简介
 
 张季
 
云南省肿瘤医院乳腺外三科 副主任医师
 
云南省抗癌协会乳腺癌专业委员会委员
 
云南省预防医学会乳腺癌专业委员会常务委员
 
中国医疗保健国际交流促进会肿瘤整形外科与功能性外科分会乳腺肿瘤整形外科学组青年委员
 
中国南方肿瘤临床研究协会乳腺癌专业委员会委员
 
云南省医师协会乳腺癌专业委员会委员
 
云南省抗癌协会化疗专业委员会委员
 
主持和参加科研课题13项,获云南省卫生科技成果奖三等奖2项,发表学术论文30多篇。

 

本内容仅供医学专业人士参考


乳腺癌

分享到: 更多