当前位置:肿瘤瞭望>资讯>正文

刘月平教授:一波三折,ER弱阳性乳腺癌治疗优化漫漫之路

作者:肿瘤瞭望   日期:2021/12/29 10:17:45  浏览量:13538

肿瘤瞭望版权所有,谢绝任何形式转载,侵犯版权者必予法律追究。

根据2018年全球癌症统计,乳腺癌是女性最常见的癌症,也是癌症死亡的最主要原因。全世界每年有超过100万名女性被诊断患有原发性乳腺癌,利用当代人群进行的研究表明,雌激素受体阳性乳腺癌患者的比例在增加,占乳腺癌总发病率的79%-84%,2020版ASCO/CAP乳腺癌ER/PR检测指南中ER、PR免疫组化检测的阳性依然定义为阳性细胞核染色≥1%,但新增ER弱阳性亚组,定义为1%-10%细胞核着色。

编者按:根据2018年全球癌症统计,乳腺癌是女性最常见的癌症,也是癌症死亡的最主要原因。全世界每年有超过100万名女性被诊断患有原发性乳腺癌,利用当代人群进行的研究表明,雌激素受体阳性乳腺癌患者的比例在增加,占乳腺癌总发病率的79%-84%,2020版ASCO/CAP乳腺癌ER/PR检测指南中ER、PR免疫组化检测的阳性依然定义为阳性细胞核染色≥1%,但新增ER弱阳性亚组,定义为1%-10%细胞核着色。按指南要求要加以备注。认为这组患者是否能从内分泌治疗中获益尚不明确。而ER弱阳性乳腺癌约占ER阳性乳腺癌的2%-3%。国内外临床指南亦在该领域产生了治疗策略的分歧,ER弱阳性乳腺癌究竟是更接近激素受体阳性还是更接近三阴性乳腺癌,值得深入探索。目前深度学习等方法或许能够为解决这一难题提供新的思路,希望在与ER弱阳性乳腺癌搏斗的岁月长河中,大家一起中流击水,挥斥方遒。
 
ER阳性阈值从10%到1%,灰色地带悄然而生
 
2020年GLOBOCAN数据显示,乳腺癌已成为全球新发病例居首的癌种,也是女性恶性肿瘤所致死亡的首因1。随着精准诊疗理念的发展,乳腺癌分子分型所指导的临床治疗策略不断进步,乳腺癌逐渐迈向治愈。在乳腺癌的分子分型中,国内外指南均指出雌激素受体(ER)阳性表达对指导乳腺癌患者的内分泌治疗和预测预后具有重要意义。
 
早在2007年,BIG 1-98研究显示IHC核染色ER表达≥10%的患者较ER表达1%-9%的患者在内分泌治疗取得的DFS存在显著获益2。因此最初的声音认为ER阳性阈值应为ER≥10%。但在2008年,基于ECOG 2197的分析显示1%以上成为判定ER阳性的新阈值3。并且2010年美国肿瘤学会/美国病理学家学会(ASCO/CAP)指南明确将IHC染色ER≥1%肿瘤细胞核阳性定义为ER阳性。但尘埃未定,在指南的一个角落静静备注着“我们也建议对于1%-10%的IHC弱阳性的HR阳性患者的内分泌治疗选择,需权衡利弊再行决定”4。2011年,《柳叶刀》的一篇EBCTCG荟萃分析显示,ER<10%的乳腺癌患者从内分泌治疗获益不佳5;2014年,另一项基于IHC检测ER表现的大型回顾性研究更直观的证实了ER<10%的患者群较ER≥10%患者群获益更差6。诸多研究结果反复印证着2010ASCO/CAP指南留下的疑惑,ER 1%-10%群体对内分泌治疗不完全响应,1%并非HR阳性的理想临界值。因此基于以上研究,2020年ASCO/CAP对乳腺癌激素受体检测指南更新中,专家小组正式提出将1%-10%肿瘤细胞ER染色阳性乳腺癌定义为ER弱阳性,并作为新的报告类别,自此成为IHC检测ER表达状态的灰色地带。
 
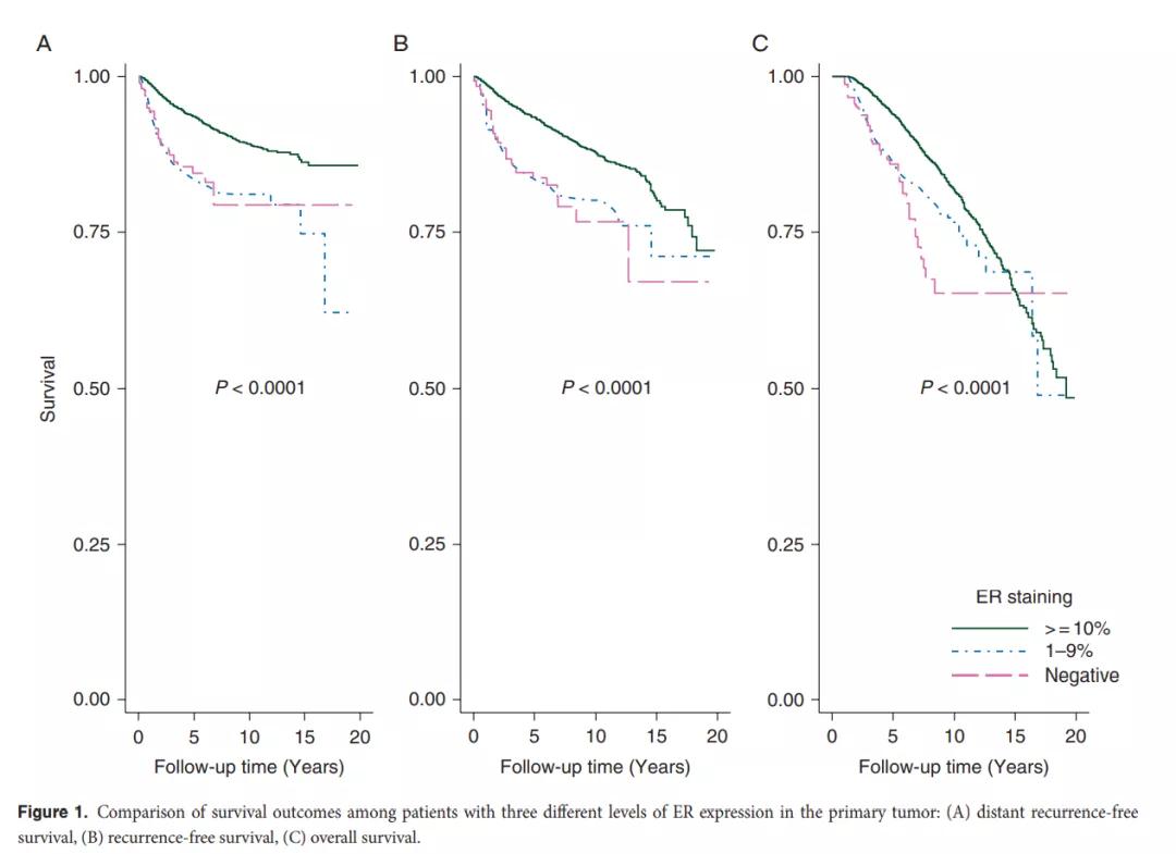
生存分析
A无远端复发生存率(DRFS);B,无复发生存率(RFS);C,总体生存率(OS)6
ER弱阳性乳腺癌精准再分型,治疗策略的优化之路
 
虽然ER弱阳性乳腺癌人群仅占所有ER阳性乳腺癌患者的极少数,但由于乳腺癌患者群体数量庞大,对其进一步精准分型和治疗不容忽视。既往回顾性研究显示,ER弱阳性患者和ER强阳性患者在年龄、导管癌、人种、TNM分期Ⅱ/Ⅲ期等方面存在显著差异;而与ER阴性相比则仅在TNMⅡ/Ⅲ期以及组织学类型上存在差异6。另有研究显示,与ER强阳性相比,ER弱阳性组织学分级更高,坏死和肿瘤间质浸润淋巴细胞更多,Ki67、HER2、EGFR和CK5/6表达更高;与ER阴性相比,ER弱阳性PR更高,组织学分级更低,CK5/6和CK14表达更低7。此类发现均表明ER弱阳性肿瘤存在异质性,似乎其生物学行为更接近于ER阴性肿瘤,因此对此类人群豁免化疗应更加慎重。
 
2021年德国一项的15年人群队列研究进一步印证了ER弱阳性、HER2阴性乳腺癌几乎可以等同于三阴性乳腺癌的观点。该研究HER2阴性队列(n=33366)中,HR弱阳性(1%-9%)患者相较于HR强阳性(≥10%)患者的生存获益降低34%(OS HR 0.66,95%CI:0.55~0.78);HR弱阳性患者相较于HR阴性患者的生存获益无明显差异(OS HR 0.93,95%CI:0.78~1.11)8。由此可见,三阴性乳腺癌的治疗策略可能更适用于ER弱阳性人群。POTENT研究显示,术后使用口服氟尿嘧啶S-1较单独内分泌治疗可显著改善ER阳性、HER2阴性乳腺癌患者的DFS9。CREATE-X试验也报告了术后辅助使用卡培他滨有改善ER阳性、HER2阴性乳腺癌患者DFS的趋势10。于ER弱阳性乳腺癌治疗策略优化的岔路口,是走向ER强阳性,还是拐向ER阴性,已初见端倪。
 
随着近年来人工智能的迅速发展,及其在识别病理学家无法从视觉上评估的肿瘤细胞形态学特征等方面存在的显著优势,深度学习已成为预测ER弱阳性乳腺癌状态的新方法。
 
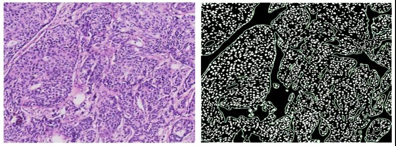
深度学习分割模型
 
图像分割
 
研究纳入450例原发性浸润性乳腺癌患者,通过深度学习提取肿瘤组织的形态学等特征,基于朴素贝叶斯分类算法进行建模,5倍交叉验证显示模型对ER表达状态具有很好的预测性能,AUC可达0.91(95%CI±0.03)。
 
ROC曲线
 
利用模型对260例ER弱阳性乳腺癌进行评估,结果显示其中206名(79.23%)患者的ER状态为阴性,54名(20.77%)患者ER状态为阳性。两组的组织学分级(P<0.001)和Ki67表达状态(P =0.039)存在显著差异。并且阴性组患者ESR1 mRNA的表达水平更低,预后更差且不能从内分泌治疗中获益。
 
ER弱阳性乳腺癌ESR1 mRNA的表达水平
 
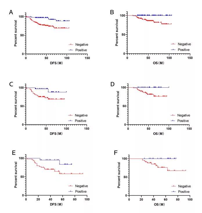
ER弱阳性乳腺癌生存分析
A、B:ER弱阳性乳腺癌整体研究人群; 
C、D:ER弱阳性/HER2阴性乳腺癌; 
E、F:经内分泌治疗ER弱阳性/HER2阴性乳腺癌
 
此外基于乳腺癌患者的临床病理特征开发的预测ER表达状态的诺模图对于ER弱阳性乳腺癌的精准治疗也同样具有指导意义。对多种临床病理特征进行多变量逻辑回归分析,结果显示与ER表达相关的独立因素包括核异型性(P=0.0339)、核分裂象(P=0.0022)、TILs(P<0.001)、以及坏死(P=0.0007)。以此建立的诺模图在预测概率和实际概率之间具有较好的一致性,AUC均高于0.80,具有良好的预测精度;通过计算约登指数得出该模型预测ER表达状态的cut-off值为0.59。
 
诺模图
 
ROC曲线下面积及cut-off值
 
同样将ER弱阳性患者通过该模型进行评估,与之前的研究结果一致,在ER弱阳性乳腺癌中,大部分肿瘤的ER状态显示为阴性,并且这部分患者ESR1 mRNA的表达水平更低,预后更差且不能从内分泌治疗中获益。预测模型将有助于辅助ER弱阳性乳腺癌的再分型,并为临床治疗策略的制定提供参考。11
 
ER弱阳性乳腺癌ESR1 mRNA的表达水平
 
ER弱阳性乳腺癌生存分析
A、B:ER弱阳性乳腺癌整体研究人群; 
C、D:ER弱阳性/HER2阴性乳腺癌; 
E、F:经内分泌治疗ER弱阳性/HER2阴性乳腺癌
 
从理论到实践,放眼未来
 
ER弱阳性乳腺癌如此与众不同的生物学行为似乎在昭示着其特有的异质性,分子水平上也对此得到了证实。有研究显示,ER弱阳性中有62%为基底样型,27%为HER2过表达型12;也有研究经PAM50分类器发现ER弱阳性中约50%为基底样型,30%为HER2过表达,8%为Luminal-B型13。因其复杂的分子分型与临床病理特征,自2017年v3版NCCN指南14起,就新增脚注认为ER弱阳性肿瘤辅助治疗决策时应考虑更接近HR阴性肿瘤的治疗方式;2020年ASCO/CAP指南进一步确认了其对内分泌治疗的不敏感,并持审慎态度;2021 ESMO BC指南则认为有限的证据显示其对内分泌治疗不敏感,但CDK4/6抑制剂联合内分泌治疗可能会带来获益15;2021年我国CSCO指南和 CACA CBCS指南均认为ER弱阳性乳腺癌的生物学行为与ER阴性乳腺癌更为类似:CSCO指南指出对于ER弱阳性患者不应放弃辅助化疗,可在完成辅助化疗后酌情考虑内分泌治疗,而对于绝经前ER弱阳性患者则不建议使用OFS联合内分泌治疗方案16。CACA CBCS指南建议对于Luminal-HER2阴性患者,若为中危且pN0,T1b-2,且存在ER弱阳性,则可考虑化疗17。
 
目前国内外指南态度并不一致,临床对于这部分乳腺癌患者的诊疗决策同样存在困惑。虽然我们当前的预测模型为ER弱阳性乳腺癌患者的再分型及治疗决策提供了思路,但由于该研究数据仅来自于同一机构,未能考量人种、地域等差异,因此有待临床进行前瞻性的研究以进一步验证。在临床的实际工作中,IHC和RT-PCR两种检测方法之间存在很好的一致性,因此基于mRNA的表达水平来评估ER表达状态的方法可能有助于解决部分问题,研究将如何利用此类工具来进一步辅助评估ER弱阳性人群分子亚型、评估复发风险、制定决策治疗是未来的研究方向之一18。
 
ER表达在1%-10%之间的弱阳性乳腺癌患者的治疗策略存在争议是难以避免的,虽然在临床实践中,ER≥1%的肿瘤判读为雌激素受体阳性并推荐内分泌治疗已成共识,但是我们需要认识到由于ER弱阳性乳腺癌异质性的存在,该患者人群生物学行为更接近三阴性乳腺癌,对于内分泌治疗的获益有限,需要进一步检测其内在的分子亚型,验证其对内分泌治疗的敏感度,再综合考虑治疗手段,为患者的生存带来精准的获益。
 
参考文献:
 
1 Sung H, Ferlay J, Siegel RL, et al. Global Cancer Statistics 2020: GLOBOCAN Estimates of Incidence and Mortality Worldwide for 36 Cancers in 185 Countries. CA Cancer J Clin. 2021;71(3):209-249. 
 
2 Viale G, Regan MM, Maiorano E, et al. Prognostic and predictive value of centrally reviewed expression of estrogen and progesterone receptors in a randomized trial comparing letrozole and tamoxifen adjuvant therapy for postmenopausal early breast cancer: BIG 1-98. J Clin Oncol. 2007;25(25):3846-3852.
 
3 Badve SS, Baehner FL, Gray RP, et al. Estrogen- and progesterone-receptor status in ECOG 2197: comparison of immunohistochemistry by local and central laboratories and quantitative reverse transcription polymerase chain reaction by central laboratory [published correction appears in J Clin Oncol. 2008 Jul 10;26(20):3472. Perez, Edith D [corrected to Perez, Edith A]]. J Clin Oncol. 2008;26(15):2473-2481. doi:10.1200/JCO.2007.13.6424
 
4 Hammond ME, Hayes DF, Dowsett M, et al. American Society of Clinical Oncology/College Of American Pathologists guideline recommendations for immunohistochemical testing of estrogen and progesterone receptors in breast cancer [published correction appears in J Clin Oncol. 2010 Jul 20;28(21):3543]. J Clin Oncol. 2010;28(16):2784-2795. 
 
5 Early Breast Cancer Trialists’ Collaborative Group (EBCTCG), Davies C, Godwin J, et al. Relevance of breast cancer hormone receptors and other factors to the efficacy of adjuvant tamoxifen: patient-level meta-analysis of randomised trials. Lancet. 2011;378(9793):771-784. 
 
6 Yi M, Huo L, Koenig KB, et al. Which threshold for ER positivity? a retrospective study based on 9639 patients. Ann Oncol. 2014;25(5):1004-1011.
 
7 Allison KH, Hammond MEH, Dowsett M, et al. Estrogen and Progesterone Receptor Testing in Breast Cancer: ASCO/CAP Guideline Update. J Clin Oncol. 2020;38(12):1346-1366. 
 
8 Poon IK, Tsang JY, Li J, Chan SK, Shea KH, Tse GM. The significance of highlighting the oestrogen receptor low category in breast cancer. Br J Cancer. 2020;123(8):1223-1227.
 
9 Schrodi S, Braun M, Andrulat A, et al. Outcome of breast cancer patients with low hormone receptor positivity: analysis of a 15-year population-based cohort. Ann Oncol. 2021;32(11):1410-1424.
 
10 Toi M, Imoto S, Ishida T, et al. Adjuvant S-1 plus endocrine therapy for oestrogen receptor-positive, HER2-negative, primary breast cancer: a multicentre, open-label, randomised, controlled, phase 3 trial. Lancet Oncol. 2021;22(1):74-84.
 
11 Masuda N, Lee SJ, Ohtani S, et al. Adjuvant Capecitabine for Breast Cancer after Preoperative Chemotherapy. N Engl J Med. 2017;376(22):2147-2159.
 
12 Jia Z , Niu S , Wang X , et al. Development and validation of a nomogram for predicting the status of estrogen receptor-low-positive breast cancer. 2021.
 
13 Sørlie T, Perou CM, Tibshirani R, et al. Gene expression patterns of breast carcinomas distinguish tumor subclasses with clinical implications. Proc Natl Acad Sci U S A. 2001;98(19):10869-10874. 
 
14 Iwamoto T, Booser D, Valero V, et al. Estrogen receptor (ER) mRNA and ER-related gene expression in breast cancers that are 1% to 10% ER-positive by immunohistochemistry. J Clin Oncol. 2012;30(7):729-734. 
 
15 NCCN Guidelines Breast Cancer 2017 v4. BINV-4.
 
16 Gennari A, André F, Barrios CH, et al. ESMO Clinical Practice Guideline for the diagnosis, staging and treatment of patients with metastatic breast cancer. Ann Oncol. 2021;32(12):1475-1495. doi:10.1016/j.annonc.2021.09.019
 
17 中国临床肿瘤学会指南工作委员会, 中国临床肿瘤学会(CSCO)乳腺癌诊疗指南2021. 人民卫生出版社
 
18 中国抗癌协会乳腺癌专业委员会,中国抗癌协会乳腺癌诊治指南与规范(2021年版).中国癌症杂志. 2021;31(10):954-1040.
 
19 Yu KD, Cai YW, Wu SY, Shui RH, Shao ZM. Estrogen receptor-low breast cancer: Biology chaos and treatment paradox. Cancer Commun (Lond). 2021;41(10):968-980. 
 
专家简介
 
刘月平
 
主任医师/教授,医学博士,博士生导师
 
河北医科大学第四医院/河北省肿瘤医院病理科主任
 
河北省三三三人才工程一层次,河北省政府特殊津贴专家
 
中国抗癌协会肿瘤病理专委会乳腺肿瘤学组组长
 
第十三届中华医学会病理学分会委员
 
CSCO病理专家委员会副主任委员
 
中国医师协会病理科医师分会青委会副主委
 
第十二届中华医学会病理学分会青委会副主委

 

本内容仅供医学专业人士参考


乳腺癌

分享到: 更多